壹生大学

壹生身份认证协议书

本项目是由壹生提供的专业性学术分享,仅面向医疗卫生专业人士。我们将收集您是否是医疗卫生专业人士的信息,仅用于资格认证,不会用于其他用途。壹生作为平台及平台数据的运营者和负责方,负责平台和本专区及用户相关信息搜集和使用的合规和保护。
本协议书仅为了向您说明个人相关信息处理目的,向您单独征求的同意,您已签署的壹生平台《壹生用户服务协议》和《壹生隐私政策》,详见链接:
壹生用户服务协议:
https://apps.medtrib.cn/html/serviceAgreement.html
壹生隐私政策:
https://apps.medtrib.cn/html/p.html
如果您是医疗卫生专业人士,且点击了“同意”,表明您作为壹生的注册用户已授权壹生平台收集您是否是医疗卫生专业人士的信息,可以使用本项服务。
如果您不是医疗卫生专业人士或不同意本说明,请勿点击“同意”,因为本项服务仅面向医疗卫生人士,以及专业性、合规性要求等因素,您将无法使用本项服务。

同意

拒绝

同意

拒绝

知情同意书

同意

不同意并跳过

工作人员正在审核中,
请您耐心等待
审核未通过
重新提交
完善信息
{{ item.question }}
确定
收集问题
{{ item.question }}
确定
您已通过HCP身份认证和信息审核
(
5
s)

肝硬化门静脉血栓(PVT)的发病率到底有多少?

2026-04-12作者:论坛报小塔资讯
非原创

门静脉血栓(Portal vein thrombosis,PVT)定义为门静脉主干或其分支内血栓形成,伴或不伴延伸至脾静脉或/和肠系膜上静脉的栓子。PVT的出现,给肝硬化病人的后续治疗,不论是急性出血、腹水还是肝移植都带来更多技术上的困难。因为PVT的存在,可导致肝门静脉灌注减少和肝实质萎缩,还可导致门静脉高压进一步加重和肝功能恶化,发生失代偿事件和死亡的风险也显著增加,对肝硬化病人的预后也有负面影响。这类病人发生急性食管胃静脉曲张时,控制急性出血失败的风险,相较于无PVT的病人也增加;规律内镜治疗过程中,消除静脉曲张的时间也更长。


图片

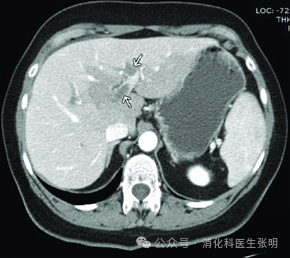
门静脉左支内的血栓


图片

门静脉主干内的血栓


图片

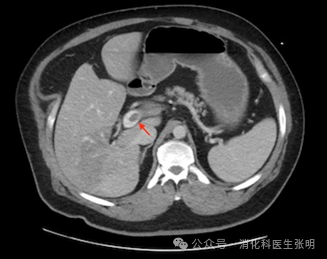
肠系膜上静脉内的血栓


图片

脾静脉内的血栓


肝硬化PVT的患病率与发病率,受被研究者性别、年龄、基础肝病的病因、肝功能分级、失代偿事件、是否接受脾栓塞及脾脏切除、临床诊断方法等有较大的影响。一般人群中PVT的患病率低于1%,而肝硬化病人PVT的总体患病率5%~20%之间,年发病率3%~17%之间。肝硬化病人PVT的发生风险是一般人群的7倍。在代偿期肝硬化中,PVT的发病率与病程有关,1年,5年和10年的总体患病率分别为4.6%~12.8%、10.2%~20%和38.7%。在CTP评级为A/B级的病人中,1年、3年和5年的发病率,分别为4.6%、8.2%和10.7%,且随着肝功能恶化及肝硬化病程的延长,发病率逐年增加。在我国最常见的病毒性肝炎肝硬化中,1年、5年和10年PVT发病率大概为12%、20%和40%。在等待肝移植的肝硬化病人中,大约8%~25%的病人合并PVT。在合并HCC的病人中,这一比例增加到40%。


图片


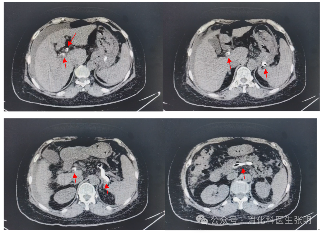
肝硬化门静脉血栓需要与非肝硬化门静脉血栓、肝硬化合并肝癌的门静脉癌栓,以及组织胶治疗后的门静脉胶栓相鉴别。


图片


连续4张图片,可以看到组织胶从胃底静脉经过脾静脉向门静脉主干和门静脉左右支延伸。


END


来源:消化科医生张明

200 评论

查看更多