查看更多
密码过期或已经不安全,请修改密码
修改密码
壹生身份认证协议书
同意
拒绝
同意
拒绝
同意
不同意并跳过
随着低剂量螺旋CT的普及,越来越多的人发现肺内有小结节。北京协和医院呼吸与危重症医学科副主任医师徐燕医生提到,「经常会有患者拿着CT报告和CT片子来找我们看病,做检查的时候发现了肺内小结节,有3mm的,也有8mm的,还有1cm的,询问这个结节是不是恶性的,我该怎么办?」
多大的肺结节可能是肺癌?
当肺结节<1cm的时候,称之为肺内小结节。而当肺结节<5mm的时候,我们一般称之为肺内微小结节。

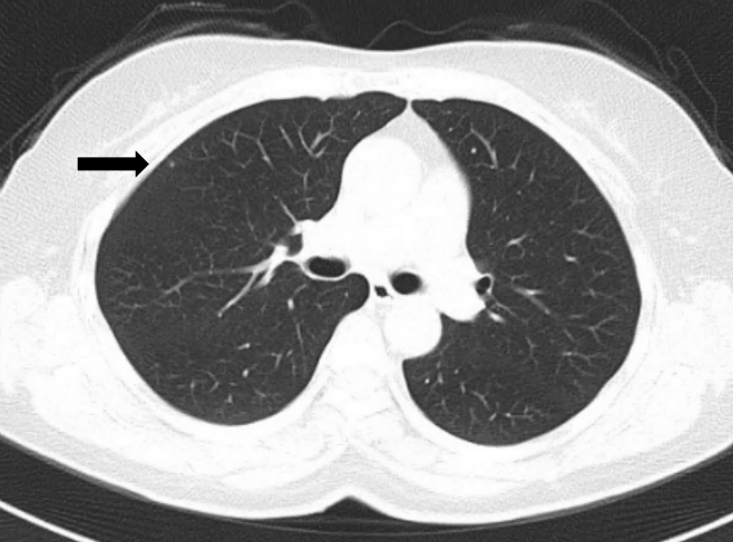
右肺上叶微小结节
上图中用黑色箭头指出来的这一个小点就是肺内的微小结节。为什么要这么在意结节的大小呢?北京协和医院呼吸与危重症医学科副主任医师徐燕医生表示,因为肺内结节越小,它可能是恶性的概率就越低;而肺内结节越大,那么它是恶性的概率就会相应的增高。
大部分<5mm的结节是恶性的可能性小于1%,基本上都是良性的。所以如果CT结果显示为2mm、3mm的微小结节,基本上不用太紧张。当肺内的病灶超过2cm的时候,它的恶性程度就会显著增高,超过3cm时甚至有一半的可能性可能是一个恶性的病变。
有多少肺结节是恶性的?
有1/4~1/5的人在做完低剂量螺旋CT之后会发现肺内结节,但是大部分的结节都是良性的,而有一小部分的结节可能是早期的肿瘤,为什么会这样呢?
徐燕医生解释,由于有一部分的小结节,尤其是<5mm的这种微小结节,大部分都是良性的病变,导致的原因可能是之前的感染,比如结核感染、真菌感染等;还有一些结节是由于肺内的良性肿瘤,比如错构瘤导致的;还有一些其他的像是肺内淋巴结,也会表现为肺内的结节。
但是确实有一部分的肺内结节可能是早期的肿瘤,它在影像上也会有相应的一些特征。所以呼吸科医生或者胸外科医生在观察一个结节的时候,会评估肺内结节的大小、性质、生长速度等,要从多方面来评判恶性的概率到底是大还是小。
肺结节越大,恶性风险越高!
随着结节的直径变大,恶性的风险会相应增高。徐燕医生表示,当肺结节在5-8mm的时候,恶性的概率在2%-6%之间;直径在8-20mm的时候,恶性的概率在18%左右;当直径超过20mm即2cm以上的时候,恶性的概率会明显增高。但即便如此,也不是所有的结节都是恶性的。
来源:看呼吸
查看更多