查看更多
密码过期或已经不安全,请修改密码
修改密码
壹生身份认证协议书
同意
拒绝
同意
拒绝
同意
不同意并跳过
基本资料
性别:男
年龄:68岁
首次入院时间:2017.2.5
主诉:便血2月余。
现病史:患者入院2月余前无诱因出现便血,血呈暗红色,附于大便表面,伴大便次数增多,7-8次/日。当地医院肠镜示:距肛门4-8cm右侧壁半周结节样隆起,病理示:(直肠)腺癌。为进一步治疗来院。
既往史、个人史、家族史:无特殊。
辅助检查
入院查体:ECOG评分:0分;神志清,精神可,双下肺呼吸音清,未闻及干湿啰音,心律齐,未闻及啰音,腹部平坦,无压痛、反跳痛,未触及肿物,肝脾肋下未触及,双下肢无水肿。
实验室检查:CEA 6.81ng/mL。
心电图,心脏彩超:未见明显异常。
病理(2017.2.7)

影像学检查:
胸+全腹部增强CT:(2017.2.9)


直肠中下段占位,考虑癌,请结合肠镜;
直肠周围可见肿大淋巴结。
盆腔MRI:(2017.2.7)



直肠中下段占位性病变,考虑直肠癌,直肠周围可见肿大淋巴结(T3N2)

T3b


分子病理检测(2017.2.14)

RAS突生型
BRAF V600E野生型
MSS
诊断:
直肠腺癌cT3N2M0 IIIB-IIIC期
RAS突变型
MSS型
MDT讨论(一)
患者的治疗目标是什么?
根治?姑息化疗?
首选的治疗策略和依据?
手术?
新辅助治疗+手术?
新辅助治疗方案:新辅助化疗?同步放化疗?诱导化疗+同步放化疗?

术前CRT:奥沙利铂?

奥沙利铂 85mg or 130 mg/(m2·3w)?



新辅助治疗模式:新辅助化疗-去放疗?
mFOLFOX6±放疗用于局部晚期直肠癌新辅助治疗:一项多中心随机对照研究—FORWARC研究最终结果:

放疗从第二个化疗周期的第一天开始:按照NCCN指南放疗原则总剂量分割成23-25次;
De Gramont:LV 0.4g/m2 d1→5-FU 0.4g/m2静脉推注→5-FU 2.4g/m2 48h;
FOLFOX方案中奥沙利铂 85mg/m2 d1;
医生自己决定C组是否加放疗。
主要终点:DFS
次要终点:pCR,R0切除,肛门括约肌保留,局部复发,总生存,生活质量,毒性,预测生物标志物。
主要合格标准:直肠腺癌,18-75岁,距肛外缘小于12cm,T3/4和/或N+,MRI影像分期,预期可以R0/1,ECOG 0-1。
mFOLFOX6±放疗用于局部晚期直肠癌新辅助治疗:一项多中心随机对照研究—FORWARC研究最终结果:





治疗经过:
2017.2.12至2017.4.28,mFOLFOX6方案化疗4周期。
疗效评价(化疗4周期后):SD





2017-2-9





2017-7-10
直肠中下段占位,考虑癌,较2017.2.9相比,病变及周围淋巴结稍缩小。

2017-2-7


2017-7-10

2017-2-7 2017-7-11
直肠中下段占位性病变,较2017.2.7MRI对比,病变累及肠管上下节段长度变化不大,结合DW表现,提示病变累及肠管周径范围有所减轻;
盆腔内小淋巴结,变化不大。
肿瘤标志物(化疗4周期后)

MDT讨论(二)
治疗经过:
2017-7-12至2017-7-17:直肠病灶放疗5✖5GY;
2017-07-20:行机器人辅助下直肠癌根治术+末段回肠双腔造瘘术。
术后病理(2017.7.24)
直肠腺癌pT1N2bM0 IIIB期

(直肠)腺癌,中分化,浸润至粘膜下层,未见明确神经侵犯及脉管内癌栓,肠壁纤维组织增生,部分肿瘤组织呈退行性改变,符合化疗后改变;
自检近端切缘、远端切缘及环周切缘未见癌;
淋巴结可见转移癌(9/16),其中3枚淋巴结可见纤维化反应,符合化疗后改变。
TRG:2




2017.9.6至2018.2.6:行XELOX化疗7周期。
疗效评价:PD

(2017-11-18 术后3个月)
直肠癌术后改变;腹膜后稍大淋巴结。

(2018-2-18 术后6个月)
直肠癌术后改变;腹膜后淋巴结较前明显增大。
因经济原因,患者拒绝应用贝伐珠单抗。
2018.2.24至2018.5.3:行FOLFIRI方案化疗3周期。
疗效评价(化疗3周期后):PD

(2018-2-18)

(2018-7-15)
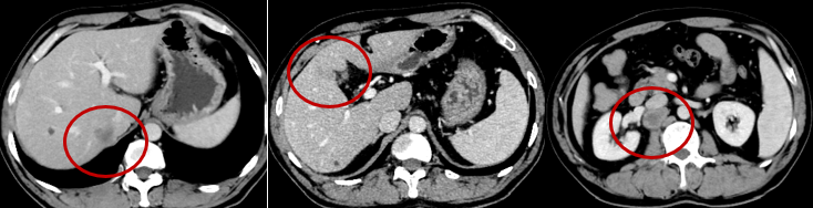
腹膜后淋巴结肿大,较前增大;
肝右叶腔静脉旁,胆囊窝旁低密度结节,较前新发,考虑转移。
肝脏MRI(2017.7.18):PD
肝内多发病变,结合病史,考虑转移灶。
肿瘤标志物:

MDT讨论(三)
患者目前诊断:
直肠癌术后ypT1N2bM0 rTxN+M1 (肝、腹膜后淋巴结)IV期;
RAS突变型 MSS。
该患者的治疗目标是什么?
姑息治疗?根治?
下一步治疗?
化疗+靶向?
局部治疗介入时机及方式?
治疗经过:
2018.07.19至2018.09.18:行“贝伐珠单抗+FOLFIRI方案化疗4周期。
疗效评价(贝伐珠单抗+化疗3周期后):SD

(2018-7-15)

(2018-9-15)
腹膜后淋巴结肿大,较前略有缩小;
肝右叶腔静脉旁,胆囊窝旁低密度结节,较前变化不大。

(2018-7-18)

(2018-9-16)
肝内多发病变,结合病史,考虑转移灶,与2018.7.18比较,病变较前稍缩小。
治疗经过:

2018.10.17行CT引导下行肝转移灶射频消融术;
2018.10.15至11.30至行腹部调强放疗;
50Gy/25f,同步卡培他滨化疗;
2018-12-07至2019-01-17:行贝伐珠单抗+FOLFIRI方案化疗2周期。
疗效评价(肝转移灶射频+淋巴结放疗后):SD

肿瘤标志物:

疗效评价:SD
(2018-12-6)

(2019-3-25)
肝内多发病变,与2018.12.6比较,胆囊旁、肝右后叶下腔静脉旁病变较前略缩小,余肝右叶多发异常信号范围较前增大。
疗效评价:PD

(2018-12-6)

(2019-3-25)
肝内多发病变,与2018.12.6比较,胆囊旁、肝右后叶下腔静脉旁病变较前略缩小,余肝右叶多发异常信号范围较前增大。
治疗经过:


2019.3.25行CT引导下行肝转移灶射频消融术;
2019-4-5至2019-8-17口服瑞戈非尼120mg qd。
疗效评价:SD

(2019-3-25)

(2019-6-15)
肝内多发病变,与2019.3.25比较,胆囊旁、肝右后叶下腔静脉旁病变较前略缩小,余肝右叶多发异常信号范围较前增大。
治疗经过:

2019.6.18行CT引导下行肝转移灶射频消融术;
继续口服瑞戈非尼靶向治疗。
疗效评价:

(2019-6-15)

(2019-8-20)
肝内多发病变,与2019.6.15比较,胆囊旁、肝右后叶下腔静脉旁病变动脉期边缘可疑轻度强化,余较前变化不明显。

(2019-6-15)

(2019-8-20)
肝内多发病变,与2019.6.15比较,胆囊旁、肝右后叶下腔静脉旁病变动脉期边缘可疑轻度强化,余较前变化不明显。
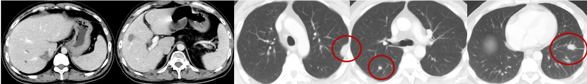
疗效评价:PD

(2019-2-18)

(2019-8-22)
右肺及左上肺多发结节,较前增多、增大。
分子病理检测(2017.8.31)

MGMT基因甲基化
MDT讨论(四)
下一步治疗?
化疗?
靶向+免疫?
局部治疗?
CAPTEM对比FOLFIRI治疗RAS突变、MGMT甲基化转移性结直肠癌(mCRC)的随机II期研究:最终分析、肿瘤生物标志物和甲基化ctDNA。
研究设计

CAPTEM
卡培他滨 1500 mg/m2 d1-14 q 28
替莫唑胺 150 mg/m2 d10-14 q 28
FOLFIRI
伊立替康 180 mg/m2 d1 q14
亚叶酸盐 200 mg/m2 d1,2 q14
5FU 静脉推注 400 mg/m2 d1,2 q14
5FU 连续静脉滴注 civ 600 mg/m2 d1,2 q14
主要终点: 无进展生存时间PFS
次要终点:总体缓解率ORR,持续缓解时间DOR(RECIST v1.1) ;总生存时间OS ;安全性 ;用EORTC FACT-C和QLQ-C30评估的生活质量QoL。
探索性终点:MGMT 免疫组化 (IHC)测定的MGMT预测价值;MethylBEAMing (MB)测定的MGMT预测价值;MethylBEAMing测定的ctDNA预测价值。
研究结果——疗效、PFS 、 OS 生存曲线 :




研究结果——预测性生物标志物: MGMT IHC 表达和MethylBEAMing的作用。



REGONIVO 研究引爆2019ASCO结直肠癌新突破。



治疗经过:
2019.9.10开始
CAPTEM
卡培他滨 1500 mg/m2 d1-14 q28
替莫唑胺 150 mg/m2 d10-14 q28

2019.9.10行CT引导下行肺转移灶射频消融术

2019.9.16行CT引导下行肺转移灶射频消融术
腹部MRI(2019.10.11)

(2019-8-20)

(2019-10-11)
肝内多发转移灶,较前变化不大。
疗效评价:SD

(2019-8-22)

(2019-10-2)
左肺上叶舌段一后壁空洞,两肺下叶结节,考虑转移;
肝右叶转移灶,较前变化不大。
肿瘤标志物:

治疗经过:

病例总结:

查看更多