查看更多
密码过期或已经不安全,请修改密码
修改密码
壹生身份认证协议书
同意
拒绝
同意
拒绝
同意
不同意并跳过
患者为49岁男性,主因“烦渴、多饮、多尿2年”就诊。2020年10月无明显诱因出现烦渴多饮,喜冷饮,日饮水量约6L,夜尿5-6次,病情呈进行性加重,2020年12月外院行垂体磁共振(MR)增强检查提示垂体左侧缘可疑小结节,考虑垂体微腺瘤待排,予弥凝对症治疗后,饮水量和尿量明显减少。2021年5月复查垂体MR增强,提示垂体后叶低强化结节区(直径约5mm),考虑垂体微腺瘤。检查抗dsDNA抗体轻微升高。2021年6月外院行鞍区病变切除术,术后病理提示垂体腺组织可能(Ki-67<1%,Pit-1部分阳性,泌乳素、ACTH染色阳性,TSH、FSH、LH部分阳性),但患者多饮多尿症状加重,调整弥凝至每日半片、每日三次仍控制不佳,2022年9月来我院就诊。
既往史无特殊。
个人史:2000-2008年曾在粉尘环境工作,未做好个人防护;吸烟史二十余年,每日10-20支,已戒烟1个月,否认饮酒史。
家族史:父亲有高血压病、冠心病。
检查结果
垂体功能评估:垂体前叶功能正常;禁水加压试验示禁水后尿比重无明显升高,注射垂体后叶素后尿比重和尿渗透压显著升高,符合完全性中枢性尿崩症诊断。
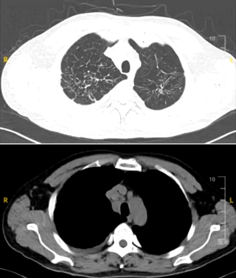
影像学检查:垂体MR增强提示垂体形态不规则,后部膨隆,增强后均匀明显强化,垂体柄增粗且强化显著,考虑垂体腺瘤可能,不除外朗格汉斯细胞组织细胞增生症或淋巴细胞性垂体炎;

胸部CT:双肺弥漫边界不清的微结节浸润和囊腔样改变,肺门及纵隔多发增大淋巴结。

全身PET-CT:提示垂体柄增粗(SUV值4.4),右侧锁骨区、主动脉旁及双肺门淋巴结增大伴代谢增高(SUV值8.1),其余部位无异常代谢信号。

其他检查:脑脊液常规、生化示蛋白含量增加。
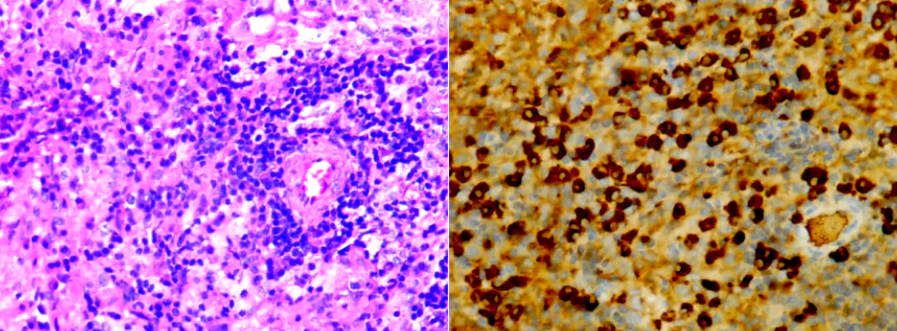
病理检查:外院手术标本会诊考虑垂体腺组织增生不能除外,CD1a、Langerin染色阴性;右侧胸腔镜下纵隔淋巴结切除术标本示胶原纤维化,无恶性肿瘤成分,CD1a、Langerin染色阴性;垂体柄活检示淋巴浆细胞增生(以B细胞和小T淋巴细胞为主,伴较多浆细胞浸润),IgG4/IgG比值25%,高倍镜下IgG4阳性细胞最多达50个。

诊断思路
1)中枢性尿崩症病因鉴别与排查:
排除遗传性中枢性尿崩症:患者起病年龄大,无中枢性尿崩症家族史,无其他伴随症状(如1型糖尿病、视神经萎缩),可能性极低。
获得性病因包括创伤、肿瘤性疾病、血管性疾病、肉芽肿性疾病、感染性疾病、炎症自身免疫性疾病、药物或毒素等,且垂体大腺瘤罕见引发中枢性尿崩症,除非伴有卒中。结合患者垂体柄增粗,此类疾病主要分为炎症感染性、自身免疫性、肿瘤性三大类。
排除炎症感染性、肿瘤性疾病:感染性疾病指标正常,脑脊液蛋白含量增加,白细胞数目正常;炎症和自身免疫性疾病相关指标阴性;肿瘤性疾病相关指标阴性。
但胸部CT显示两肺弥漫微结节浸润和囊腔样改变,符合朗格汉斯细胞组织细胞增生症影像学表现,且肺门和纵隔多发淋巴结增大。全身PET-CT检查发现垂体柄增粗,SUV值轻微升高,右侧锁骨区、主动脉旁和双肺门淋巴结增大伴低代谢增高。考虑朗格汉斯细胞组织细胞增生症不能除外。
朗格汉斯细胞组织细胞增生症排查:朗格汉斯细胞组织细胞增生症是罕见炎性髓系肿瘤,以CD1A或CD207阳性未成熟树突状细胞增殖为特点,年发病率低,男性稍多见,常见于儿童,可累及全身多器官,最常见受累组织为骨,其次为皮肤、垂体、肺部和肝脏。下丘脑和垂体区多以中枢性尿崩症起病,影像学常见垂体柄增粗,确诊依赖病理检查。
该患者因纵隔和肺门淋巴结增大,先行纵隔淋巴结切除术,病理未发现恶性肿瘤成分,免疫组化染色阴性。借外院垂体手术病理片子会诊,也未发现明确腺细胞增生及相关阳性提示。但患者垂体柄增粗直径达8毫米,遂进行垂体柄活检。
2)确诊IgG4相关性垂体炎:垂体柄活检示淋巴浆细胞浸润,IgG4/IgG比值25%,高倍镜下IgG4阳性细胞数>10个,符合IgG4相关性垂体炎的病理诊断标准;修正纵隔淋巴结病理切片IgG4染色阳性,确诊为IgG4相关性疾病累及垂体和纵隔淋巴结。
IgG4相关性垂体炎是自身免疫性垂体炎亚型,约4%中枢性尿崩症由其引起,占所有垂体炎的30%,近60%为系统性IgG4相关疾病组分,多呈亚急性、进展缓慢,可致器官组织破坏、纤维化及衰竭。平均受累器官1.5个,最常见合并受累器官为肺部。平均起病年龄54岁,男性略多于女性,孤立性者女性相对多见。主要临床表现为头痛、视力下降、视野缺损等占位性表现,近60%患者全垂体功能减退,15.8%仅表现为中枢性尿崩症,18.4%仅表现为垂体前叶功能减退,最常受累垂体前叶靶腺轴为性腺轴。76.4%患者血清IgG4水平升高,该患者血清IgG4水平正常。影像特征上,一半患者表现为垂体占位合并垂体柄增粗,22%仅表现为垂体占位,26%为单纯垂体柄增粗。病理特征为慢性炎症伴纤维化,呈现肿瘤样肿胀,镜下见车轮状排列致密淋巴浆细胞浸润,富含IgG4阳性浆细胞,有席纹状纤维化、闭塞性静脉炎及轻至中度嗜酸性粒细胞浸润。诊断标准采用IH标准,满足相应条件即可诊断。
治疗与随访
予去氨加压素0.05mg bid口服,控制中枢性尿崩症症状;针对甲状腺轴、性腺轴功能减退,予左甲状腺素钠片50μg qd、十一酸睾酮40mg bid口服。对于IgG4免疫抑制,2023年1月起予甲泼尼龙32mg qd口服,逐渐减量(初始剂量维持2-4周,每两周减10mg至20mg/d维持2周,后每两周减5mg);2023年3月加用吗替麦考酚酯,因出现肝损停用;2023年6月改用托法替布(JAK2抑制剂),从5mg qd起始加量至10mg qd,2024年1月减量至5mg qd,2024年3月停用,后续维持甲泼尼龙1mg qd口服;随访中垂体柄恢复,肺门及纵隔淋巴结肿大好转,但仍遗留垂体前叶功能减退和中枢性尿崩症,血清IgG4水平持续正常。
对于IgG4相关性疾病,指南推荐所有症状性活动性患者接受治疗,一线治疗为中等剂量泼尼松,初始剂量维持2-4周后逐渐减量,疗程3-6个月,日本专家推荐小剂量糖皮质激素维持治疗三年。部分患者可能需糖皮质激素联合非类固醇类免疫抑制剂治疗。
查看更多
专家点评
本例病例从内分泌科常见的中枢性尿崩症切入,展示了一例罕见病病因诊断。尿崩症的功能诊断相对明确,但病因鉴别往往是临床难点,IgG4相关性垂体炎与朗格汉斯细胞组织细胞增生症均属于罕见病目录范畴,且均可表现为“中枢性尿崩症+垂体柄增粗”,若无系统评估易漏诊或误诊。该病例通过层层递进的病因排查,突破了初始“垂体微腺瘤”的影像学误导,最终依靠病理活检明确诊断。
对于临床医生而言,本例带来两大核心启示:
第一,要重视“基于病例的学习”模式。面对不典型表现不能局限于既有经验,需主动查阅文献、梳理诊疗逻辑;即便暂时无法明确诊断,也应及时将患者转诊至具备更高诊疗能力的中心,并做好跟踪随访,通过单个病例的诊疗积累,完善自身对罕见病的认知体系。
第二,多学科协作(MDT)是复杂罕见病诊疗的核心保障。尤其对于垂体柄增粗这类病因复杂的病变,需要影像科、神经外科、病理科等多学科共同研讨,才能避免诊疗偏差,制定最适合患者的方案。