查看更多
密码过期或已经不安全,请修改密码
修改密码
壹生身份认证协议书
同意
拒绝
同意
拒绝
同意
不同意并跳过
35岁患者,平素月经规律,自然受孕,G1P0,末次月经2023-09-12,预产期2024-06-18。
孕8周、孕11周均因少许阴道出血间断口服地屈孕酮治疗。
孕13周超声检查示NT正常,子宫左侧壁浆膜下见5.9cm×3.9cm×3.8cm结节,考虑子宫肌瘤。无创DNA筛查低风险。OGTT正常。
孕16周、孕21周先后因下腹胀痛入院,考虑先兆流产、子宫肌瘤变性,给予抑制宫缩、抗炎对症治疗后好转,孕期复查超声子宫肌瘤无明显增大。
孕32周因下腹发紧半天再次入院,超声检查胎盘前壁,厚度2.7cm,宫颈管长度正常,胎心监护反应型,胎儿及血流动力学超声未见异常,fFN阴性,休息后患者症状好转,观察2天出院。
本次主诉“停经34周,自觉胎动减少1天”入院。患者入院当天凌晨自觉胎动减少,无腹痛及阴道出血,就近诊于外院,超声提示胎盘可见多发血窦,较大约3.0cm×1.2cm,羊水偏少(AFI 6.89cm)。急来我院就诊,胎心监护变异欠佳,不除外胎儿窘迫,收入院观察。

既往史:慢性乙肝病史20年,曾口服替诺福韦治疗,孕期每月于佑安医院查HBV-DNA定量阴性,肝功正常。
1. 胎儿窘迫?2. 妊娠34周,孕1产0,头位;3. 羊水偏少;4. 胎盘多发血窦;5. 妊娠合并子宫肌瘤;6. 慢性乙型肝炎
入院后完善化验检查,胎心监护仍提示基线变异微小,反应不佳。

抽血急查甲胎蛋白,查胎儿血流超声检查:胎儿大脑中动脉PSV 91cm/s,大于1.55Mom,PI 2.1,脐动脉PI 1.2,脑-胎盘比大于1。胎儿超声:前壁胎盘,厚度4.2cm,成熟度Ⅱ级;基底层可见较多点状钙化灶回声,胎盘中央可见多个血池回声,呈“奶酪”样,较大约3.21.9cm。AFI:9.5cm。
消毒后阴道检查:宫颈消40%,质中,居中,宫口未开,先露S-3,宫颈Bishop评分3分。
考虑胎母输血可能性大,向患者及家属交代病情,需立即终止妊娠救治新生儿,救治难度大,预后可能不良。
2024-05-06 因“胎儿窘迫,胎母输血?胎盘早剥?”急诊在腰麻下行子宫下段剖宫产术+子宫肌瘤切除术+盆腔粘连松解术。术中见羊水色清,脐带螺旋,新生儿娩出后全身肤色苍白,轻度水肿,Apgar评分8分-8分-9分,体重2210g ,呼吸困难进行性加重,儿科医生予气管插管,加压给氧,转入儿科进一步抢救。
子宫前壁见浆膜下肌瘤,大小约6cm×5cm,蒂部扭转270度,肌瘤浆膜面与肠管及子宫前壁粘连,分离粘连后行子宫肌瘤剔除术。
术后予抗炎、补液、促宫缩等对症支持治疗,术后恢复良好,术后5天出院。
术前血AFP结果回报:12024ng/ml。术后3天复查AFP:4955ng/ml。术后3个月(2024-08-06)HCG 0.5mmol/L。
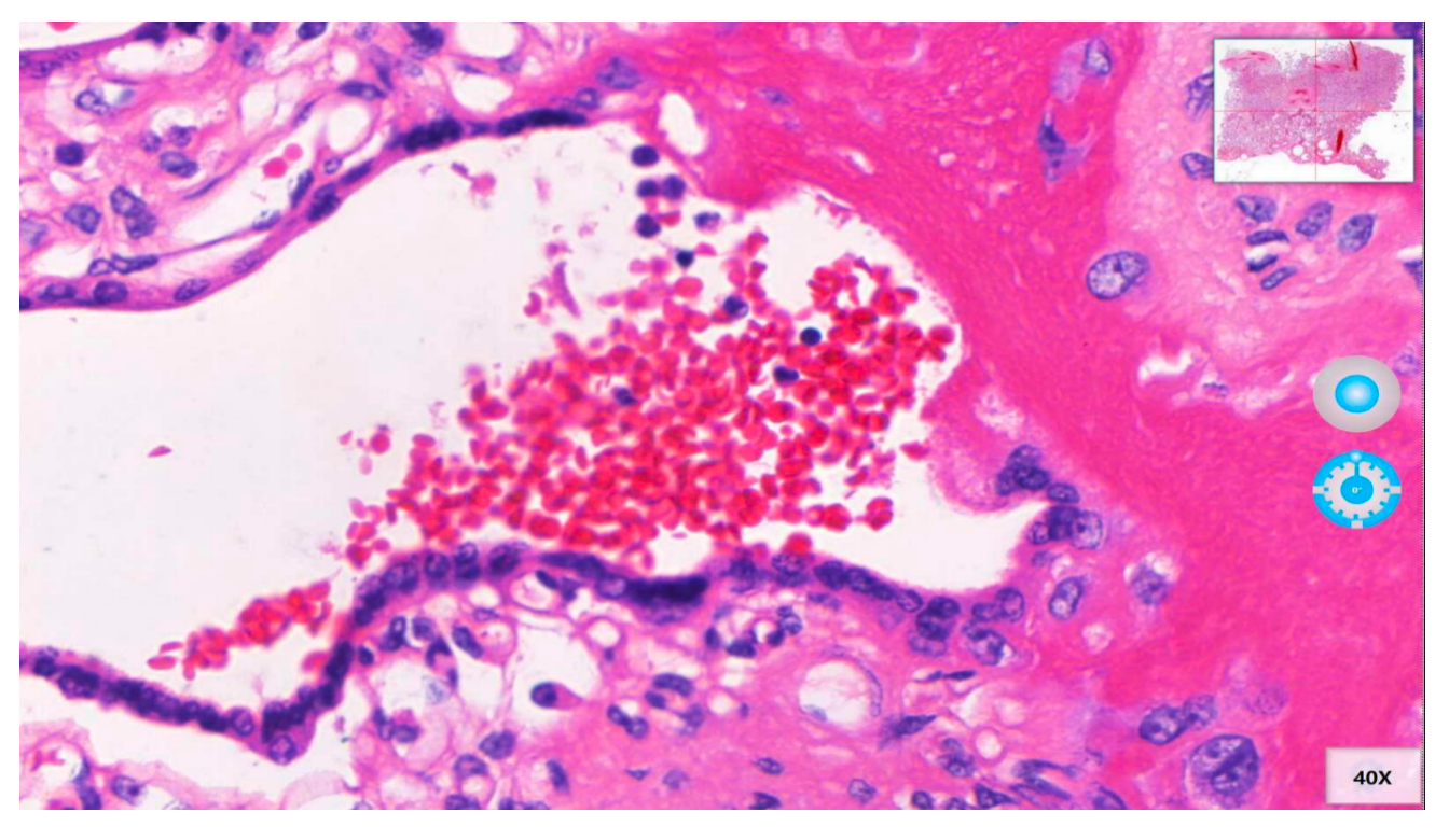
术后病理:1. 脐带过度螺旋;2. 绒毛成熟延迟;3. 绒毛膜板血管内、绒毛间质见有核红细胞;4. 小灶无血管绒毛;5. 脐带静脉内、绒毛间隙见有核红细胞;6. 绒毛间纤维素沉积增多;7. 子宫平滑肌瘤伴红色样变。
临床病理联系:病变2-4提示胎儿缺血缺氧;病变5提示母体循环内见有核红细胞,且母亲甲胎蛋白明显升高,推测发生了胎母输血。


1. 胎母输血综合征;2. 胎儿宫内窘迫;3. 妊娠34周 G1P1 LOT;4. 剖宫产手术分娩,早产活男婴;5. 妊娠合并子宫肌瘤蒂扭转;6. 子宫肌瘤红色变性;7. 妊娠期盆腔炎;8. 慢性乙肝
(气管插管下)体温36.8℃,脉搏133次/分,呼吸45次/分,血压65/36mmHg,身长44cm,头围32cm,体重2210g。早产儿外貌,皮肤中等厚度,肤色苍白,轻度水肿。前囟平软,1cm×1cm,张力不高。吸气性三凹征(+),听诊双肺呼吸音偏弱,未闻及啰音。心前区无隆起,心尖搏动无弥散,心率133次/分,律齐,心音有力,各瓣膜听诊区未闻及杂音。腹稍隆,触之软,肝脾肋下未触及,听诊肠鸣音弱。四肢肌张力可。简易胎龄评分34周(胎龄=27+2+2+2+1)。

1. 胎母输血综合征;2. 新生儿呼吸窘迫综合征;3. 早产儿;4. 低出生体重儿;5. 新生儿代谢性酸中毒;6. 高乳酸血症
入科后积极给予0.9%氯化钠注射液扩容,碳酸氢钠注射液补碱纠酸等治疗,多巴胺(5ug/kg·min)维持循环、血压稳定。

血液方面:患儿入科后2小时给予同型悬浮红细胞45ml(20ml/kg)静脉输注,复查红细胞计数2.98×1012/L,血红蛋白93.0g/L;第2、3天分别再次给予悬浮红细胞45ml静脉输注,监测红细胞计数、血红蛋白逐渐上升。
感染方面:入院后予哌拉西林钠他唑巴坦钠(2024-5-6 至 2024-5-17)、青霉素钠(2024-5-6 至 2024-5-15)抗感染,监测白细胞、血小板进行性下降,白细胞最低 3.64×109/L,血小板最低 32×109/L。经过抗感染治疗,感染指标逐渐好转。

营养方面:入院后予静脉营养支持治疗,第4天微量开奶,之后平稳增加奶量,喂养耐受可,顺利达全肠道喂养。
循环方面:入院第3天心脏超声提示卵圆孔未闭(2.0mm)、房间隔缺损(继发孔 2.6mm)、动脉导管未闭(1.5mm)、左室收缩功能正常。给予控制液体入量,呋塞米利尿,维持氧饱和度稳定等治疗。第7天复查心脏超声,示卵圆孔未闭(2.8mm)、左室收缩功能正常。
凝血功能:多次给予新鲜冰冻血浆、冷沉淀静脉输注,肝素钠(12.5u/kg,1/6h)抗凝等治疗。
神经系统方面:颅脑超声示,

颅脑核磁(2024-5-23):符合早产儿脑改变,双侧侧脑室旁异常信号,考虑出血,双侧脑室扩张、积血。
于2024-5-13 开始定期行腰穿放脑脊液治疗。


行腰穿放脑脊液治疗后,脑室增宽进行性增大,效果欠佳。联系我院小儿神经外科专家,于2024-5-28 行床旁脑室Ommaya囊置入术。定期经Ommaya囊抽脑脊液治疗,脑室增宽、脑室前角不均质高回声明显好转。2024-6-7 转入我院小儿神经外科学习经囊抽脑脊液,治愈出院。
1. 胎母输血综合征;2. 新生儿呼吸窘迫综合征;3. 早产儿;4. 低出生体重儿;5. 新生儿代谢性酸中毒;6. 高乳酸血症;7. 新生儿颅内出血(非创伤性);8. 脑积水;9. 弥散性血管内凝血;10. 动脉导管未闭;11. 房间隔缺损;12. 新生儿低钙血症
查看更多