壹生大学

壹生身份认证协议书

本项目是由壹生提供的专业性学术分享,仅面向医疗卫生专业人士。我们将收集您是否是医疗卫生专业人士的信息,仅用于资格认证,不会用于其他用途。壹生作为平台及平台数据的运营者和负责方,负责平台和本专区及用户相关信息搜集和使用的合规和保护。
本协议书仅为了向您说明个人相关信息处理目的,向您单独征求的同意,您已签署的壹生平台《壹生用户服务协议》和《壹生隐私政策》,详见链接:
壹生用户服务协议:
https://apps.medtrib.cn/html/serviceAgreement.html
壹生隐私政策:
https://apps.medtrib.cn/html/p.html
如果您是医疗卫生专业人士,且点击了“同意”,表明您作为壹生的注册用户已授权壹生平台收集您是否是医疗卫生专业人士的信息,可以使用本项服务。
如果您不是医疗卫生专业人士或不同意本说明,请勿点击“同意”,因为本项服务仅面向医疗卫生人士,以及专业性、合规性要求等因素,您将无法使用本项服务。

同意

拒绝

同意

拒绝

知情同意书

同意

不同意并跳过

工作人员正在审核中,
请您耐心等待
审核未通过
重新提交
完善信息
{{ item.question }}
确定
收集问题
{{ item.question }}
确定
您已通过HCP身份认证和信息审核
(
5
s)

别小瞧了“感冒”——急性坏死性脑病1例 | 协和神经科临床病例精粹

2026-03-19作者:论坛报寒夜资讯
原创

作者:北京协和医院 王妍颖 关鸿志



PART 01
病例摘要




患者女性,24岁,主因“发热13天,意识障碍伴抽搐7天”于2025年11月入院。


图片


入院情况



2025年11月8日,患者出现发热,最高体温39.2℃,伴困倦、乏力、头晕,自服赖氨匹林利巴韦林可短暂退热。2025年11月14日早上8点,患者呼之不应、意识障碍,持续四肢抽搐,口吐白沫,当地医院查肝功能:谷丙转氨酶(ALT)94.5 U/L,谷草转氨酶(AST)60 U/L,γ-谷氨酰转移酶(GGT)151 U/L,肌酸激酶(CK)1427 U/L;抗核抗体(ANA)1:320+(颗粒型),白细胞介素(IL-6)32.9 pg/mL,IL-8 240 pg/mL,IL-10<5 pg/mL;腰穿:脑脊液压力110 mmH2O, 白细胞5×106/L,蛋白0.55 g/L,糖3.2 mmol/L;自身免疫抗体谱28项、DNA-NGS(-);头颅计算机体层摄影(CT)示脑实质轻度水肿;脑电图示弥漫性慢波复合波节律持续发放,发作期弥漫性棘波。考虑自身免疫性脑炎可能、癫痫持续状态,予以气管插管,咪达唑仑+丙泊酚泵入,左乙拉西坦1.5 g bid+托吡酯100 mg bid+吡仑帕奈4 mg qn+氯硝西泮2 mg q12h抗癫痫,更昔洛韦+静脉注射免疫球蛋白(IVIG)×3 d+甲泼尼龙1 g qd×2 d治疗,患者意识状态、肢体抽搐无明显改善。2025年11月20日转入我院抢救室,完善新型冠状病毒、甲流、乙流核酸均阴性;头颅CT提示脑组织肿胀(图1);考虑脑炎、癫痫持续状态,加用甘露醇脱水降颅压,当日收入ICU病房进一步诊治。病来,患者否认免疫系统相关症状。


图片


既往史、个人史、家族史



无特殊。


图片


查体



镇静状态下,格拉斯哥昏迷(GCS)评分E1VTM1,双侧瞳孔等大等圆,直径2.5 mm,对光反射灵敏,四肢肌张力正常,四肢腱反射对称减低,双下肢病理征(-),颈软。


图片


辅助检查



  • 感染

    呼吸道病原核酸6项、呼吸道病原体IgM抗体9联(-)。

  • 免疫及炎症

    IL-6 65.8 pg/ml↑,IL-8 47 pg/ml,IL-10 9.9 pg/ml,超敏C反应蛋白(hsCRP)11.86 mg/L;抗核抗体(ANA)谱17项:ANA (+) 、斑点型、1:80,Ro 52 (+)。

    抗中性粒细胞胞浆抗体(ANCA)谱4项、水通道蛋白4(AQP-4)抗体、髓鞘少突胶质细胞糖蛋白(MOG)抗体、自身免疫性脑炎抗体谱、副肿瘤抗体谱(-)。

  • 脑脊液

    压力260 mmH2O,白细胞28×106/L,单个核细胞100%,蛋白0.54 g/L,细胞学提示轻度淋巴细胞性炎症,IL-6 251 pg/mL↑,IL-8 5855 pg/mL↑。

    IL-10、二代测序、特异性寡克隆区带(SOB)、自身免疫性脑炎抗体谱、副肿瘤抗体谱均阴性。

  • 影像 

    经阴道子宫双附件超声:右附件区囊性包块,畸胎瘤不除外。

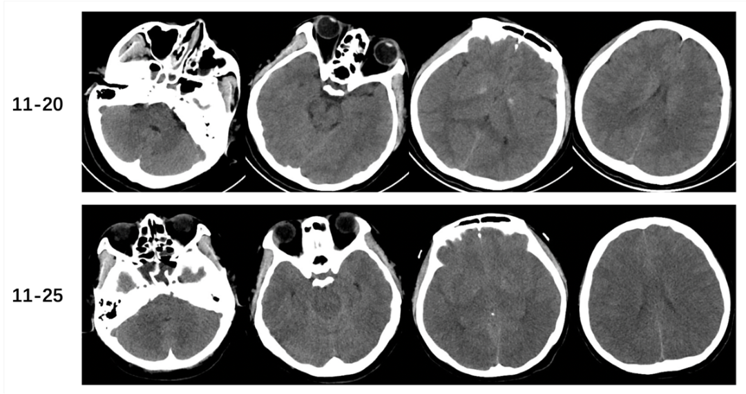
    头颅CT:脑组织肿胀加重,部分脑沟裂池变浅、消失,丘脑可疑低密度影(2025年11月25日,图1)。

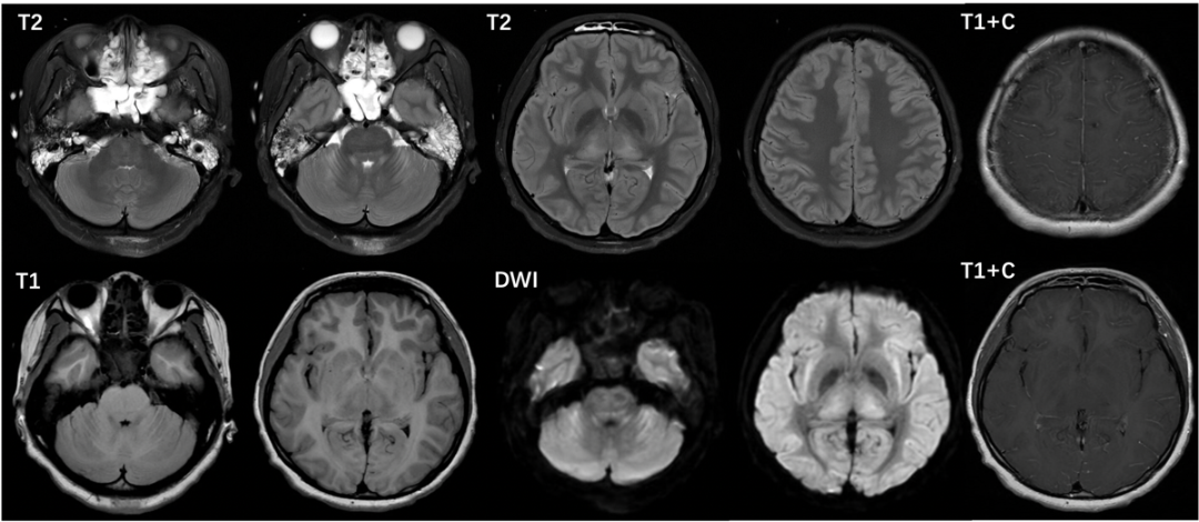
    头颅增强MRI+SWI:脑干、双侧小脑、丘脑和屏状核异常信号,软脑膜强化(图2)。

    床旁脑电图:后部导联几乎持续高波幅尖波、棘波、尖慢波,周期样出现,右枕尤著(图3)。


图片4.png

图1 头颅CT示脑组织肿胀(2025年11月20日);头颅CT示脑组织肿胀加重,部分脑沟裂池变浅、消失,丘脑可疑低密度影(2025年11月25日)。


图片5.png

图2 头颅强MRI+SWI:脑干、双侧小脑、丘脑和屏状核异常信号,软脑膜强化(2025年11月25日)。


图片6.png

图3 床旁脑电图示后部导联几乎持续高波幅尖波、棘波、尖慢波,周期样出现,右枕尤著(2025年11月25日)。


图片


诊治经过



患者脑炎诊断明确,继续予以IVIG 25 g qd静脉滴注治疗(共5天),静脉滴注甲泼尼龙1 g qd(共3天)→500 mg qd(3天)→240 mg qd(2天)→80 mg qd(8天)→60 mg qd(7天)。2025年11月23日,妇科行腹腔镜右卵巢囊肿剔除,大体不支持畸胎瘤。逐步调整抗癫痫药物为布立西坦+托吡酯+吡仑帕奈+氯巴占丙泊酚、力月西、芬太尼丙戊酸钠静脉泵入。


2025年11月24日脑脊液二代测序回报阴性,停用更昔洛韦,予托珠单抗8 mg/kg静脉滴注。2025年11月25日,综合临床表现、头部影像学和脑脊液等结果回报,考虑急性坏死性脑病诊断明确,予以加强脱水降颅压;经神经外科、神经内科、麻醉科和手术室多科会诊,于当日夜间行急诊双侧去骨瓣减压术。2025年11月28日,予以第二次托珠单抗8 mg/kg静脉滴注,2025年12月5日予以第三次托珠单抗4 mg/kg静脉滴注。患者仍每日5~10次癫痫大发作,2025年12月10日,患者家属要求救护车转运回当地医院。


图片


出院诊断



1. 急性坏死性脑病

    1.1 癫痫持续状态

2. 脑水肿

3. 右卵巢囊肿


图片


出院随访



2026年1月4日随访,患者于当地医院ICU住院中,2025年12月31日予以第四次托珠单抗4 mg/kg静脉滴注。目前气管切开状态,已成功脱机,镇静药物逐渐减量,仍间断有局灶性癫痫发作,复查头颅CT脑水肿较前减轻。



PART 02
文献复习




副感染脑病是继发于系统性感染性疾病,特别是呼吸道病毒感染的一组急性脑病综合征,与IL-6为代表的细胞因子导致的炎性综合征和个体遗传因素等相关。副感染脑病临床与影像学表现多样,可分为种临床表型,急性坏死性脑病即为其中罕见且凶险的类型。急性坏死性脑病既往多见于儿童,新型冠状病毒(COVID-19)相关急性坏死性脑病的中国队列与系统回顾提示,患者男女比接近1:1,存在10~20岁和50~60岁两个发病年龄高峰,死亡率42%。RANBP2基因突变与散发急性坏死性脑病的遗传易感性相关,37.5%的中国急性坏死性脑病患者携带此突变。急性坏死性脑病的早期诊断主要依赖快速出现的急性脑病症状等临床表现、双侧丘脑对称性病灶的典型影像学特征、脑脊液IL-6升高或转氨酶升高等支持性证据,静脉激素冲击联合IVIg治疗、24小时内使用托珠单抗治疗均与预后良好相关。



专家简介





王.jpg

北京协和医院

王妍颖

  • 医学博士,北京协和医院神经科临床博士后出站。

  • 掌握神经内科常见疾病诊疗流程,主要课题方向为运动障碍病,发表SCI及中文核心期刊论文数篇。曾获北京协和医院优秀临床医学博士后等称号。


关.jpg

北京协和医院

关鸿志 主任医师

  • 主任医师,医学博士,北京协和医院神经科副主任。

  • 中华医学会神经病学分会神经感染性疾病与脑脊液细胞学学组副组长,中国医师协会神经内科医师分会神经感染学组副组长,中国罕见病联盟自身免疫性脑炎专委会主任委员,《中华神经科杂志》编委等。

  • 主要临床方向:脑炎与相关疾病,临床脑脊液细胞学。






END




更多精彩病例,请持续关注「协和神经科临床病例精粹」专栏



200 评论

查看更多