查看更多
密码过期或已经不安全,请修改密码
修改密码
壹生身份认证协议书
同意
拒绝
同意
拒绝
同意
不同意并跳过
患者基本信息:37岁,男性。
主诉:间断胸闷20余天。
现病史:患者20余天前无明显诱因出现胸闷、憋气,活动后加重,夜间可憋醒,不能平卧,伴咳嗽。近10余天症状反复,就诊于北京友谊医院急诊。测血压170/114 mmHg,心电图提示房颤伴快速心室率,胸部CT提示双侧胸腔积液、心脏弥漫增大、心包积液。初步诊断“慢性心功能不全急性发作、心房颤动”,急诊留观予强心、利尿、降压、抗凝等治疗后,血压仍波动在150/110 mmHg左右,为进一步诊治收入北京友谊医院心内科。
既往史:
高血压病史6年,最高血压达190/130 mmHg,未规律服药,血压控制不佳。
肥胖病史10年。
体检发现高尿酸血症、血脂异常。
长期吸烟、饮酒史。
家族史:父亲73岁因脑梗死去世,生前患高血压、2型糖尿病;母亲现患高血压、2型糖尿病。1妹体健。

实验室检查:
NT-proBNP:显著升高。
心肌肌钙蛋白:轻度升高。
尿蛋白:阳性,提示肾功能轻度损害。
甲状腺功能、肿瘤标志物、传染病学检查:未见异常。
心电图:心房颤动伴快速心室率;Ⅱ、Ⅲ、aVF及V4-V6导联T波倒置

超声心动图:全心增大(左房内径4.5 cm,左室舒张末内径5.9 cm),左室肥厚,左室射血分数(LVEF)减低(41.1%)。
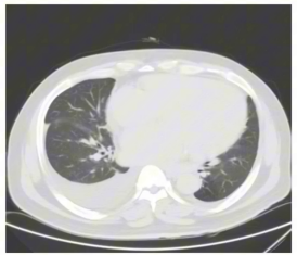
胸部CT:提示双肺间质性病变可能;心脏弥漫性增大;双侧胸腔积液伴双肺部分膨胀不全,右侧为著。


1) 入院治疗:一般治疗给予吸氧、优质低盐饮食、控制出入量。药物治疗方面,使用呋塞米20 mg qd、螺内酯20 mg qd、沙库巴曲缬沙坦100 mg BID、琥珀酸美托洛尔缓释片47.5 mg qd抗心衰,利伐沙班20 mg qd抗凝,西地兰静推控制快速心室率,琥珀酸美托洛尔控制整体心房率,硝苯地平控释片、ARNI及β受体阻滞剂控制血压,因冠心病待除外,给予阿托伐他汀20毫克降脂治疗。
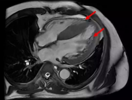
2) 病情发展与处理:利尿治疗后水肿消退不明显,因右侧胸腔积液严重,进行胸腔穿刺引流,引流出2800 ml胸水,胸水性质倾向于漏出液,未发现肿瘤细胞及结核细胞。继续药物治疗后,复查胸部CT提示胸水减少,仍有少量胸腔及心包积液,患者未完全转复,仅心室率得到控制70-90次/分。为明确心衰病因,进行冠脉造影,未发现明显冠脉狭窄,后行心脏核磁检查,发现左室各壁及室间隔增厚,全心运动减低,左心功能不全,左心室各壁心肌增厚,伴有多发斑片状延迟强化。

3) 首次出院情况:出院诊断为慢性心力衰竭急性发作,心功能III级;持续性心房颤动伴快速心室率(非瓣膜性);原发性高血压3级(很高危)高血压性心脏病可能性大,还有其他危险因素及心脏结构相关诊断。出院用药包括沙库巴曲缬沙坦、琥珀酸美托洛尔缓释片、呋塞米、螺内酯、利伐沙班、硝苯地平控释片及地高辛。
4) 再次入院治疗:两个月后患者因仍感心悸、胸闷再次入院。Holter提示持续性房颤,复查超声心动图示射血分数44.6% ,较前有轻度改善但仍轻度减低,左室整体室壁运动减弱,经食道超声心动图未发现左房明显血栓,遂进行导管射频消融转复。术后三个月门诊随访,患者症状改善,下肢水肿消退,体重减轻2 kg,血压波动在120-130/70-80 mmHg,心电图提示窦性心律,心率64次/分,动态心电图提示平均心率62次/分,室早4732个(成对、二联律、三联律)、短阵室速。

查看更多
专家点评
本病例展示了一例青年男性重症高血压导致多系统损害(心、肾)及心力衰竭的典型过程,其诊疗过程突出了在复杂临床表现中抽丝剥茧、进行病因鉴别与综合管理的重要性。
1. 高血压:不可忽视的“元凶”与全身性损害:本例患者虽年仅37岁,但高血压病史长、控制极差(最高190/130 mmHg),已导致高血压性心脏病(左室肥厚、扩大、收缩功能减低)、心房颤动及肾功能损害(蛋白尿)。这警示临床,对于青年高血压患者,绝不能因年龄小而轻视其危害,必须早期、严格、持续地控制血压,并进行全面的靶器官评估。
2. 心力衰竭病因的精细化鉴别诊断:尽管高血压是高度可疑的病因,但诊疗团队并未止步于此。针对患者心肌肥厚、心功能减低的表现,进行了系统的鉴别诊断:
·肥厚型心肌病:尤其是当高血压与心肌病可能共存时。团队指出,肥厚型心肌病多为遗传性,常表现为非对称性室间隔肥厚。若为此病,心功能在短期规范治疗后通常难以出现如此显著(LVEF从41%升至57%)的改善。因此,本例更支持高血压是主要驱动因素。
·心肌淀粉样变性:另一种可引起心肌肥厚和心衰的疾病。团队注意到患者心脏CMR存在“多发斑片状延迟强化”,这是一个需要警惕的信号。虽然患者缺乏典型心电图低电压等表现,且心功能随治疗改善,但仍建议在半年至一年后复查CMR,必要时进行心内膜心肌活检以完全排除。这体现了严谨的临床思维。
·通过冠脉造影排除了缺血性心肌病。
3. 心房颤动的综合处理:从心率控制到节律控制:患者入院时房颤伴快速心室率,加重了心衰。初始治疗以药物控制心室率为主。待心功能初步改善后,积极采取导管射频消融术转复窦律。术后患者症状进一步改善,血压更易控制,凸显了对于心衰合并房颤的患者,在条件允许时积极进行节律控制的重要性。
4. 心衰治疗的现代策略与长期管理:
·药物治疗:本例严格遵循指南导向的药物治疗,早期即联合应用了沙库巴曲缬沙坦(ARNI)、β受体阻滞剂、MRA、SGLT2抑制剂,涵盖了抑制神经内分泌过度激活、改善心肌重构的多个关键通路。
·重视容量管理:面对顽固性胸腔积液,果断采取胸腔穿刺引流,有效缓解了呼吸困难,是心衰急性期管理的重要一环。
·长期性与依从性:专家强调,心衰的治疗是“马拉松”而非“冲刺”。即使患者LVEF显著回升,也绝不能轻易减量或停药,因为心功能的改善依赖于药物的持续作用。同时,必须严格管理血压这一根本病因,并辅以生活方式干预(减重、戒烟酒、心脏康复),才能最大程度延缓疾病进展,防止复发。