查看更多
密码过期或已经不安全,请修改密码
修改密码
壹生身份认证协议书
同意
拒绝
同意
拒绝
同意
不同意并跳过
除了CT,还可以通过哪些手段评估肺小结节性质?
北京协和医院呼吸与危重症医学科副主任医师徐燕医生谈到,在门诊经常有患者来询问,「医生让我随诊观察肺里的结节,但是我这个结节到底是不是肺癌,我到底该怎么办?要不要再做些其他的检查,比如血液肿瘤标志物、PET-CT等,来帮我明确一下它是不是肺癌?」
徐燕医生解释,如果肺部结节是一个非常小的微小结节,恶性的可能性较低,你就把它当成脸上的一颗痣,有时候皮肤上的痣很多年都不会有变化;但是,有少数的痣可以变成黑色素瘤,它会有变大、破溃的表现,这种情况下就需要做手术把它切除。
肺内结节也是这样,大部分的肺内结节都不是肺癌。如果肺内结节真的很小,即使是用穿刺针去穿刺也穿不到,做手术又没有必要,检查血液肿瘤标志物能够帮助诊断肺癌的概率也非常低。如果医生怀疑这是一个恶性程度很低的肺内小结节或者肺内微小结节,你就不要太过于去纠结它到底是不是早期肺癌,踏实的定期复查就可以了。但是如果医生通过CT等检查评估它是一个恶性程度高的肺结节,要明确它到底是不是肺癌,确实需要做手术把它切除,然后通过病理诊断是不是肺癌。所以,手术切除病变组织做病理诊断是确诊肺癌的金标准。
手术切除肺小结节起到了什么好作用?
徐燕医生告诉我们,由于肺癌早筛意识的提高,胸部低剂量螺旋CT在高危人群的体检中广泛开展,有20%~30%的患者是经过胸部CT检查之后发现了肺内结节,但是大部分的肺内结节是良性的病灶。

上图所示的结节是一个实性的结节,它靠近胸膜,纵隔窗上也可以看到。这个结节虽然不能排除恶性,但是做了手术切除之后,病理提示为肺内淋巴结,所以是一个良性的病变。

有些肺内的大一点的病灶,单纯通过术前CT或PET-CT等检查的评估,也不能明确肺内病变的性质。上图所示的胸部CT,病灶的大小已经超过2cm,而且有一些分叶的特征,里边也没有典型的钙化和脂肪的性质。为了明确性质做了手术切除,但是术后的病理是错构瘤。

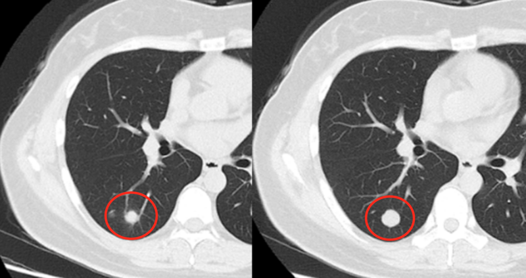
我们再来看上图所示的病灶,刚开始的时候是肺内的一个实性结节,但是边缘并不是很光滑,似乎是有毛刺的。尤其是这个结节经过半年的随诊后,明显增大。对于这种增长的结节,医生很担心它是一个恶性的结节。对于这个患者建议进行手术治疗,但术后的病理是结核。
因此,对于部分病变来说,即使在术前判断不能除外恶性或者恶性可能性大,术后的病理也并不一定是恶性的。
对于有些病灶的性质尚不能明确,但是恶性也不能除外的一些病灶,手术具有很重要的作用,一方面可以明确诊断,另外一方面是把病灶进行切除,达到治疗的目的。
来源:看呼吸
查看更多