查看更多
密码过期或已经不安全,请修改密码
修改密码
壹生身份认证协议书
同意
拒绝
同意
拒绝
同意
不同意并跳过
现病史
38岁中年女性,主诉发热1月。
1月前无明显诱因出现高热,体温最高达41℃,每日1-2次,无咳嗽咳痰、腹痛腹泻等伴随症状。自行口服感康及NSAIDs治疗5天效果欠佳。9月23日于北京某三甲医院门诊就诊,血常规示白细胞计数正常,嗜酸性粒细胞显著升高,伴轻度贫血,血小板计数正常;炎症指标提示C反应蛋白轻度升高,PCT正常;生化提示ALT轻度升高。胸部CT示双肺多发肺结节,无明确急性炎症及占位性病变;腹部CT示肝右叶片状稍低密度影,范围4.2cm×5.6cm,考虑肝脓肿可能,建议住院进一步诊治。
既往史
焦虑状态病史10年,目前控制稳定;高脂血症病史1年,目前口服瑞舒伐他汀。
个人史
2024年7月家中养猫两只,未接种疫苗,否认被猫抓伤史;2024年8月初有海南旅游史,期间进食海鲜均为熟食,同行人员无消化道相关症状。
辅助检查
(1)体格检查
生命体征平稳,全身浅表淋巴结无肿大,皮肤黏膜无黄染、皮疹及出血,双肺呼吸音清,心率齐,心脏各瓣膜听诊区无病理性杂音,腹软无压痛及反跳痛,肝脾肋下未触及,肝区和脾区无叩击痛,双下肢无水肿。
(2)实验室检查
外院:
血常规示白细胞计数正常,嗜酸性粒细胞显著升高,伴轻度贫血,血小板计数正常;炎症指标提示C反应蛋白轻度升高,PCT正常;生化提示ALT轻度升高。

本院:
血常规白细胞计数正常,嗜酸性粒细胞升高,轻度贫血,炎症指标C反应蛋白较院外升高,血沉偏快,尿便常规潜血阳性(后续复查转阴),生化转氨酶正常,胆红素未升高,蛋白轻度偏低,肾功能基本正常。

(3)影像学检查
外院:
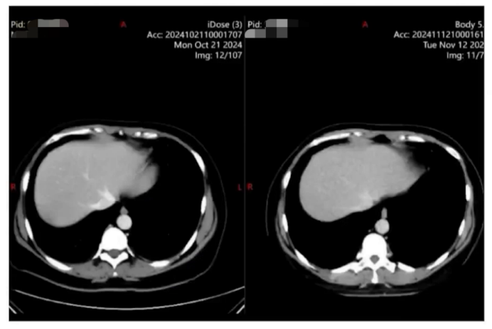
胸部CT:双肺多发微结节;腹部CT:提示肝右叶片状稍低密度影(4.2cm×5.6cm),肝脓肿可能。

外院诊疗经过
9月23日至10月12日患者于该院肝胆外科住院,住院当天出现一过性红色风团样皮疹,经对症抗过敏治疗后迅速好转。考虑发热、嗜酸性粒细胞升高及肝占位,肝脓肿可能性大,遂给予经验性哌拉西林他唑巴坦抗感染治疗。治疗1周后,患者仍持续发热,且嗜酸性粒细胞呈进行性升高趋势,遂调整抗感染方案为亚胺培南西司他丁(泰能)0.5g q6h治疗,并于入院1周时行经皮肝穿刺活检。因肝脏病灶未完全液化,未能获取病原及病理标本,次日行腹腔镜下肝占位探查术,术中见肝右叶脏面近下腔静脉处5cm大小脓肿病灶,送检病原及病理检查。切开脓肿可见少量白色脓液混合血液流出约30ml,吸取脓液送检病原学检查,并切取部分脓肿壁组织送病理检查,常规病原学检查均为阴性,病理示肝组织大片坏死伴脓肿形成,考虑感染性病变。
因常规抗细菌治疗效果不佳,转诊至该院热带病研究所行寄生虫相关检测,包括粪便阿米巴检测及肝吸虫抗体检测,结果均为阴性。外院后续完善骨髓穿刺检查,骨髓提示骨髓细胞形态学可见一个早幼嗜酸性粒细胞,未见到寄生虫,骨髓涂片可见嗜酸性细胞比例升高,其他无明确异常。给予地塞米松对症治疗,用药后患者体温正常,持续4天后于10月12日出院。10月13日患者再次出现发热,就诊于该院门诊,给予万古霉素治疗,患者仍发热,遂就诊于我院门诊,以发热、嗜酸性粒细胞升高、肝占位收入院。




初步诊断
1、发热;2、嗜酸性粒细胞升高;3、肝占位待查
诊疗经过
嗜酸性粒细胞升高的原因包括原发性和继发性,继发性更为常见,其中重点考虑感染因素,尤其是寄生虫感染,如蠕虫、部分原虫;细菌方面巴尔通体感染,真菌方面ABPA、球孢子菌、分枝杆菌(结核、麻风),以及骨髓异常增殖性肿瘤、淋巴瘤、实体瘤、风湿免疫性疾病(如EGPA相关疾病、结节病)、过敏性疾病(如嗜酸性粒细胞胃肠炎)等均可引起。
结合本例患者,其为急性起病,病前有外出旅游史,炎症指标升高,肝脏病理可见大片坏死和脓肿形成,基础治疗无效,考虑感染性病变可能性大,尤其是特殊感染,如阿米巴肝脓肿、真菌和结核等;同时患者有轻度贫血,抗感染及激素治疗无效,不能排除肿瘤性疾病;患者为青年女性,病程中有炎症指标升高、发热、皮疹、肝脏及血液系统病变,多系统受累,激素治疗部分有效,也不能除外免疫性疾病。


首先考虑感染性疾病,针对特殊感染,因外院常规病原学化验阳性率偏低,故初步计划完善再次送检肝穿刺病原,重点完善二代测序以提高特殊病原体检出率;若感染方面无阳性提示,则进一步复查骨穿,送检嗜酸性粒细胞相关骨髓化验,同时完善免疫方面ANCA及胃肠镜检查。
经验性给予甲硝唑、米诺环素和头孢曲松治疗,覆盖院外未覆盖的可能病原体,同时复查腹部CT,显示肝右叶片状稍低密度病变较前增大,遂再次行经皮肝穿刺引流,送检肝组织NGS化验,但结果未提示特殊病原体。初步考虑肝内感染指标阴性,结核、真菌相关检查阴性,寄生虫相关化验再次复查也无阳性结果。免疫方面,ANCA斑点法1:160阳性,但ANCA阴性,过敏原因无特殊提示。肿瘤方面,外周血涂片提示嗜酸性粒细胞升高,未见到异型细胞,肿瘤标志物CA724轻度升高,其他包括AFP均为阴性。


未找到感染相关病原体,进一步筛查肿瘤性疾病,再次动员患者行骨髓穿刺,骨髓细胞学仍见嗜酸性粒细胞升高,未发现幼稚阶段嗜酸性粒细胞及骨髓异常,病理未见显著造血组织异常。外送白血病相关检测至检验中心,包括免疫分型及融合基因、嗜酸性粒细胞增多症相关检测,结果均为阴性,血液系统肿瘤无明确证据。进一步完善PET/CT检查,示右半肝多发不规则低密度影,代谢明显增高,综合评估考虑感染性病变可能性大,需警惕寄生虫感染,最终仍需回归寄生虫感染排查。胃肠镜检查未见其他病变,包括嗜酸性粒细胞胃肠炎及肠道可疑肿物。此时诊疗陷入困境。



随后寄生虫相关化验陆续回报,广州管圆线虫的IgG抗体以及曼氏裂头蚴的IgG抗体检测回报阳性,但此前在外院热研所检测为阴性。请我院热带病专家会诊,结论为广州管圆线虫及曼氏裂头蚴的抗体应为假阳性,因前者主要以神经系统受累为主,且为自限性病程,而患者主要表现为发热和肝占位,病程无自限性趋势,嗜酸性粒细胞仍进行性升高;后者通常形成皮下虫体移行性软组织影,以胃肠道受累为主,肝脏受累相对少见,显著肝占位病变无法解释抗体阳性,对应疾病与患者临床表现不符。
结合现有临床证据,仍主要考虑肝寄生虫感染可能,建议先予吡喹酮经验性治疗,覆盖肝脏可能的病原体,同时详细询问流行病学史,除生食肉类及动物接触史外,询问有无进食水生植物情况,并送检上海市寄生虫研究所片形吸虫抗体。

给予吡喹酮经验性治疗后,患者仍有体温波动,嗜酸性粒细胞未见下降趋势,诊疗再次陷入困境。若找不到继发性嗜酸性粒细胞相关证据,患者嗜酸性粒细胞持续升高,可能浸润重要脏器,需按原发性嗜酸性粒细胞增高处理。多次送检患者标本找寄生虫后,终于发现片形吸虫的虫卵,同时外送到寄生虫研究所的免疫实验结果也提示片形吸虫抗体阳性,至此患者诊断明确为肝片形吸虫病。


追问患者流行病学史,患者有食用凉拌蔬菜情况,且曾长期在外卖平台购买泰国菜,多为蔬菜沙拉。明确诊断后,给予特效药三氯苯达唑治疗,患者服用两天后体温持续正常,稳定1周后出院。出院后随访,嗜酸性粒细胞呈进行性下降趋势,体温保持稳定正常,腹盆CT复查显示病灶缩小。




查看更多
专家点评
该病例为青年女性,呈亚急性病程,以“发热伴嗜酸性粒细胞增多”为核心表现,外院及本院初步检测未明确病因,诊疗过程曲折。肝片形吸虫病不算罕见病,但地区分布不均,非流行区易被忽视,国内外实际患病数远高于报告数。与常见寄生虫病(如肝吸虫)的“生食鱼虾螺”传播不同,其核心传播途径为生食未清洗的水生植物或凉拌菜,易被临床遗漏。典型表现包括发热伴嗜酸性粒细胞增多,青年男性患者需优先排查寄生虫感染,女性需鉴别风湿免疫病。
诊断核心在于突破误区与多手段协同,诊断思路方面,发热伴嗜酸性粒细胞增多需覆盖感染性与非感染性疾病;在追问流行病学史时,需突破“仅问生食肉类”的常规思维,主动追问水生植物、凉拌菜食用史,避免因传播途径特殊导致漏诊;PCR、NGS、PET-CT等相对高精尖的检测手段也有可能出现阴性结果,应重视形态学检测,显微镜涂片等传统方法仍然不可忽视的重要手段。