查看更多
密码过期或已经不安全,请修改密码
修改密码
壹生身份认证协议书
同意
拒绝
同意
拒绝
同意
不同意并跳过
东部战区总医院 国家肾脏疾病临床医学研究中心 全军肾脏病研究所 倪雪峰 文吉秋 刘志红
患者女性,30岁,“因肾移植术后10个月,尿检异常4月”入院。
患者因慢性肾小球肾炎、慢性肾脏病(CKD 5D期)在外院行右侧同种异体肾移植术,心脏死亡器官捐献(DCD)供肾,过程顺利,术后应用“ 甲泼尼龙片(MP)、麦考酚钠肠溶片、他克莫司胶囊(FK506)”免疫抑制治疗,血清肌酐(SCr)最低降至0.69mg/dl。患者术后SCr持续正常,尿蛋白(-),FK506血药浓度8ng/ml 左右。因患者血白细胞、血小板计数偏低,将麦考酚钠肠溶片逐渐减停,仅服用他克莫司胶囊及甲泼尼龙片预防排斥反应至术后4个月。
患者因血白细胞计数低,将他克莫司胶囊切换为环孢素胶囊(CsA),并加用来氟米特片30mg,2次/日。2周后复查血白细胞计数仍低,遂停用来氟米特片。
患者复查尿红细胞计数1000/μl,尿蛋白(+++),SCr1.02mg/dl,群体反应性抗体(PRA)Ⅰ类80%、Ⅱ类20%,SCr升高至1.47mg/dl,经移植肾活检诊断为“急性抗体介导的急性排斥反应”,甲泼尼龙冲击治疗2天(剂量不详),SCr降至1.02mg/dl。
患者至我院门诊就诊,查SCr1.01 mg/dl,尿蛋白(+),红细胞(+++),CsA 谷浓度67.2ng/ml,抗磷脂酶A2受体抗体4.78RU/ml。环孢素加量至75mg/12h,并加用吗替麦考酚酯胶囊(MMF)0.25g/12h 等治疗。
患者复查SCr1.47mg/dl,尿蛋白(+),隐血(+++),CsA谷浓度77ng/ml。
入院进一步检查治疗。患者神志清,精神一般,饮食睡眠良好,大小便如常,体重无明显变化。
1998年患者无明显诱因出现眼睑浮肿,查尿蛋白(+++),隐血(-),SCr正常。服用“虫草肾康胶囊”治疗8年,尿蛋白减至+,未规律复查及药物治疗;2006年发现SCr升高至6.79mg/dl,行腹膜透析治疗。
个人史、婚育史、家族史
无特殊
体温36.9 ℃,脉搏80次/分,呼吸16次/分,血压135/80 mmHg。身高163cm,体重48kg,体重指数(BMI)18.1kg/m2 ,心律齐,未闻及杂音,双肺听诊呼吸音正常,未闻及干湿啰音及胸膜摩擦音,腹平软,全腹无压痛及反跳痛,肝脾肋下未触及,双下肢无浮肿。右下腹见一长约12cm的手术瘢痕,可及移植肾,大小约10cm×5cm,质中,无压痛,边界清,未闻及血管杂音。
尿蛋白0.8g/24h,尿红细胞计数752.6/μl,N-乙酰-β-D-氨基葡萄糖苷酶(NAG酶)24.6U/(g·cr),视黄醇结合蛋白(RBP)0.3mg/L。
白细胞计数5.9×109/L、血红蛋白125g/L、血小板计数127×109/L、SCr1.27mg/dl、尿素49.8mg/dl、白蛋白45.9g/L、球蛋白17.4g/L。药物浓度 MMF 0~12h药物浓度曲线下面积(AUC0-12h)14.9(mg·h)/L(2016年7月5日),CsA谷浓度94.9 ng/ml(2016年7月4日),FK506 谷浓度14.47 ng/ml(2016年7月11日)。
抗核抗体(ANA)、抗双链DNA抗体(dsDNA)均阴性,免疫球蛋白IgM 1.14g/L,IgA<0.255g/L、IgG 5.03g/L,补体C3 0.9891g/L,补体C4 0.131g/L。C3肾炎因子(-),补体H因子(-),补体H因子抗体(-)。免疫固定电泳图谱未见明显异常单克隆免疫球蛋白条带。冷球蛋白188.94 mg/L。血轻链κ4.2g/L,轻链λ2.51g/L,κ/λ1.67。
尿轻链κ129.36mg/L,轻链λ65.32mg/L,κ/λ 1.98。PRA Ⅰ类(+),Ⅱ类(-),主要组织相容性复合物Ⅰ类链相关蛋白A(MICA)(-)。淋巴细胞亚群CD3+T淋巴细胞527/μl,CD4+T淋巴细胞198/μl,CD8+T淋巴细胞314/μl,CD19+T淋巴细胞25/μl,CD20+T淋巴细胞 26/μl,调节性T细胞2 /μl,抗内皮细胞抗体(AECA)(-)。
全阴性。
基本正常骨髓象。
两肺散在钙化灶;心影增大,主动脉及冠状动脉粥样硬化;双侧肱骨头、锁骨、肩胛骨及胸廓组成骨骨质改变,考虑肾性骨病;脾大。
移植肾磁共振血管造影(MRA)
肾移植术后改变。
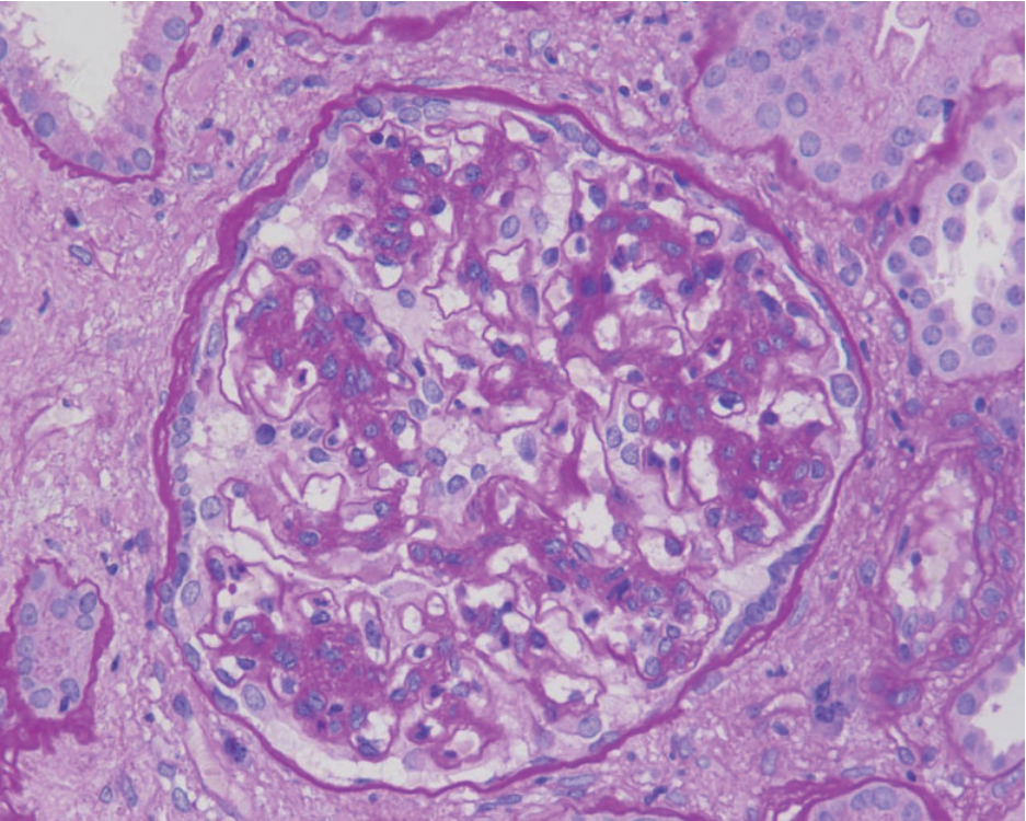
10个肾小球,系膜区中至重度增宽,系膜细胞增生伴基质增多,毛细血管袢开放好,节段袢内皮细胞增生,袢内单核细胞5~15个(图1),节段壁层上皮细胞增生,见肾小管返流,囊壁节段增厚分层。高碘酸-乌洛托品银-马松(PASM-Masson)染色示肾小球系膜区节段、上皮侧少量嗜复红物沉积。肾小管间质轻度慢性病变,小灶性肾小管萎缩、基膜增厚,伴轻度急性病变,小灶性肾小管上皮细胞刷状缘脱落,少量红细胞管型,间质多处小灶性纤维化,间质少量单核细胞、浆细胞浸润,见管周毛细血管炎。动脉未见明确病变。
图1
肾小球中至重度系膜区增宽,系膜细胞及基质增多,肾小球炎(过碘酸希夫染色,×400)
IgG(++),补体C3(+++),补体C1q(+++),弥漫分布,呈颗粒状沉积于系膜区及血管袢。IgM(+),节段分布,呈颗粒状沉积于系膜区。IgA(-)。IgG3(++),弥漫分布,呈颗粒状沉积于系膜区和血管袢(图 2A),IgG1、IgG2、IgG4均阴性。游离轻链κ(±)、游离轻链λ(++),弥漫分布,呈颗粒状沉积于系膜区及血管袢(图2B)。补体C4d(+),管周毛细血管弥漫分布。SV40 T抗原染色(-)。
图2
冰冻切片荧光染色A荧光染色IgG3(++),弥漫分布,呈颗粒状沉积于系膜区和血管袢;B荧光染色游离轻链λ(++),弥漫分布,呈颗粒状沉积于系膜区及血管袢(免疫荧光染色,×400)
肾小球系膜区增宽,系膜区大量电子致密物分布(图3),致密物未见特殊超微结构,肾小球节段袢内皮细胞增生伴细胞浸润,节段内皮下见电子致密物分布,肾小球1处外周袢分层,肾小球足细胞足突节段融合。
图3
电镜下显示肾小球系膜区增宽,系膜区大量电子致密物分布,致密物未见特殊超微结构
1. 移植肾急性抗体介导的排斥反应(AAMR);
2. 移植肾生性肾小球肾炎伴单克隆免疫球蛋白沉积(IgG3,λ 型)
明确诊断后,予甲泼尼龙500mg×3d冲击治疗。2016年7月5日将环孢素改为他克莫司,并给予人免疫球蛋白注射剂(1g/kg体重,总剂量47.5g)静滴,复查SCr 1.01mg/dl。1个月后再次住院行硼替佐米联合地塞米松治疗(硼替佐米1.75mg/m2 体表面积,第1d、8d、15d皮下注射;地塞米松40mg/次,静滴)。
2016年8月25日复查尿蛋白0.18g/24h,尿红细胞计数343.2/μl,血尿素氮31.90mg/dl,SCr 1.0mg/dl。
伴单克隆IgG沉积的增生性肾小球肾炎(PGNMID)于2004年由纳什等人首次在自体肾中发现并报道。肾活检病理组织学中免疫荧光表现为单一IgG亚型和单一轻链沉积于肾小球系膜区及血管袢。纳什等人回顾性分析了1999年至2008年住院患者自体肾活检病例,提出PGNMID诊断标准为:① 免疫球蛋白仅IgG沉积,且无IgA及IgM沉积;② IgG亚型为IgG1、IgG2、IgG3和IgG4中的一种;③ 轻链仅有κ或λ阳性;④ 电镜下电子致密物主要分布在系膜区、内皮下,伴或不伴上皮下沉积;⑤ 血中未检测到冷球蛋白。
PGNMID的发病机制目前尚不清楚,可能原因是体内循环中的单克隆蛋白沉积于肾小球毛细血管袢并激活补体,导致肾小球慢性持续性损伤。目前报道的PGNMID 亚型多为IgG3-κ型,推测与IgG3自我聚集和激活补体的能力强有关。IgG1型和IgG2型的PGNMID文献中也有少数报道,目前尚无IgG4型的PGNMID的报道。需要指出的是,单克隆免疫球蛋白也可能是体内其他疾病导致的一种伴随状态,如多发性骨髓瘤、淋巴瘤和其他风湿免疫疾病,异常增殖的浆细胞可以分泌多种单克隆的免疫球蛋白(副蛋白),所以PGNMID患者有必要行骨髓穿刺检查以明确有无骨髓异常增殖情况。
PGNMID临床常表现为SCr升高、血尿、蛋白尿。纳什等人于2009年分析的梅奥诊所37例符合诊断标准的PGNMID患者中,男性占37.8%,女性占62.2%。这些患者肾脏主要表现为蛋白尿,平均尿蛋白5.7g/24h,68.6%可达肾病综合征蛋白尿范围(>3.5 g/24h)。77.1%患者存在镜下血尿,2/3患者存在肾功能不全,平均SCr 2.77mg/dl。血清补体C3和(或)C4下降的有10例(27%)。11例患者血液伴或不伴尿液免疫固定电泳异常,剩余26例血轻链检查仅1例κ/λ比例升高。22例患者骨穿仅2例提示骨髓浆细胞>5%,其中1例若干年后进展为多发性骨髓瘤。4例有其他系统肿瘤病史,1例结肠癌、2例直肠癌和1例乳腺癌合并膀胱癌,其余均无系统性免疫性疾病。
肾移植PGNMID
移植肾PGNMID的文献报道较少,多为疾病复发,临床表现与自体肾PGNMID无明显差异。肾移植术后6个月程序性活检即可以发现PGNMID复发。在纳什等人报道的4个病例中,经中位随访期为43个月的随访,所有患者蛋白尿和SCr均有所缓解,重复活检活动性病变减轻。因此PGNMID是否为肾移植手术的禁忌证尚有争议。
光镜PGNMID病理改变多样,最常见的组织学表型为肾小球膜增生性病变,亦可以见内皮增生型、系膜增生型和弥漫增生型病变,该病需与其他疾病进行鉴别。常见的鉴别诊断包括Ⅰ型冷球蛋白血症导致的肾小球肾炎、免疫管状肾小球病和纤维丝样肾小球病等。Ⅰ型冷球蛋白血症导致的肾小球肾炎亦可表现为膜增生性肾小球肾炎样改变,免疫荧光亦表现为肾小球单一IgG亚类和单一轻链沉积,但是前者肾小球内可观察到“假血栓”,实验室检查可有冷球蛋白阳性。此外罹患Ⅰ型冷球蛋白血症导致的肾小球肾炎患者多有全身其他系统的表现,如皮肤血管炎和雷诺征等。免疫管状肾小球病和纤维丝样肾小球病电镜检查沉积物具有平行排列的微管状或者排列紊乱的细丝样等特殊的超微结构。
硼替佐米可以同时治疗PGNMID和移植肾抗体介导的排斥反应。硼替佐米是哺乳动物细胞中26S蛋白酶体的可逆抑制剂,可以破坏细胞内环境的稳定,影响细胞内蛋白水解多级信号串联,从而导致细胞死亡。临床试验表明,硼替佐米对于清除多发性骨髓瘤患者中异常增殖的浆细胞疗效明显。在肾移植领域,硼替佐米常用于清除患者体内产生抗体的浆细胞。诺托等人报道使用硼替佐米成功治疗1例合并多发性骨髓瘤的PGNMID患者,也有研究者使用第二代蛋白酶体抑制剂治疗PGNMID。除了蛋白酶体抑制剂外,还有学者尝试使用利妥昔单抗治疗PGNMID。利妥昔单抗可以靶向结合浆细胞前体B细胞上的CD20蛋白,从而清除患者体内的B细胞,减少抗体的产生。
本例患者除PGNMID外还合并移植肾AAMR。虽然移植肾AAMR临床多表现为SCr快速上升,但本例患者SCr升高不明显,可能与前期外院甲泼尼龙冲击及药物调整治疗有关。此次移植肾活检提示存在明显的肾小管管周毛细血管炎和肾小球炎,管周毛细血管补体C4d染色强阳性,这些都支持急性抗体介导的排斥反应。但文献检索没有发现移植肾PGNMID合并急性抗体介导的排斥反应相关报道。
本例患者肾移植术后6个月时出现尿检异常 ,经肾活检诊断为移植肾PGNMID、移植肾AMMR,经硼替佐米治疗后肾功能改善,尿蛋白转阴。本病例的诊治经过提示,临床医生对于肾移植术后早期出现SCr升高和蛋白尿应积极行移植肾活检明确诊断。临床上应加强对PGNMID等少见疾病的认识,积极应用蛋白酶体抑制剂等治疗,以获得更好的移植肾预后。

来源:《中国医学论坛报》2022年3月31日A4-A5版
查看更多