壹生大学

壹生身份认证协议书

本项目是由壹生提供的专业性学术分享,仅面向医疗卫生专业人士。我们将收集您是否是医疗卫生专业人士的信息,仅用于资格认证,不会用于其他用途。壹生作为平台及平台数据的运营者和负责方,负责平台和本专区及用户相关信息搜集和使用的合规和保护。
本协议书仅为了向您说明个人相关信息处理目的,向您单独征求的同意,您已签署的壹生平台《壹生用户服务协议》和《壹生隐私政策》,详见链接:
壹生用户服务协议:
https://apps.medtrib.cn/html/serviceAgreement.html
壹生隐私政策:
https://apps.medtrib.cn/html/p.html
如果您是医疗卫生专业人士,且点击了“同意”,表明您作为壹生的注册用户已授权壹生平台收集您是否是医疗卫生专业人士的信息,可以使用本项服务。
如果您不是医疗卫生专业人士或不同意本说明,请勿点击“同意”,因为本项服务仅面向医疗卫生人士,以及专业性、合规性要求等因素,您将无法使用本项服务。

同意

拒绝

同意

拒绝

知情同意书

同意

不同意并跳过

工作人员正在审核中,
请您耐心等待
审核未通过
重新提交
完善信息
{{ item.question }}
确定
收集问题
{{ item.question }}
确定
您已通过HCP身份认证和信息审核
(
5
s)

朗格汉斯细胞组织细胞增生症-典型表现及呼吸系统鉴别诊断

2025-11-16作者:论坛报小璐资讯
非原创

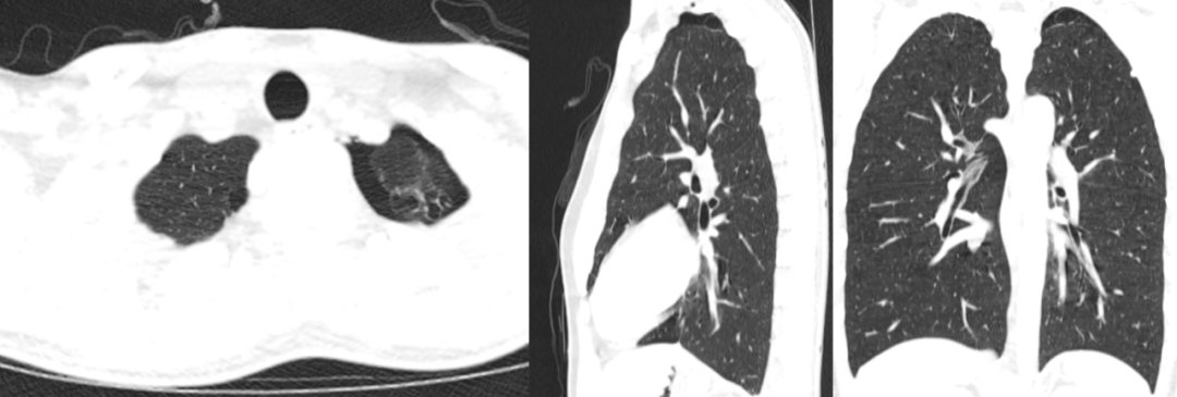
病例1

  • 男,19岁

  • 主诉:胸痛4天

  • 现病史:患者4天前无明显诱因下出现胸口疼痛,休息时不能好转,伴胸闷气喘,活动后加重,无畏寒、发热,无咳嗽咳痰,无心悸,无恶心呕吐,无黑蒙及晕厥,无腹痛、腹泻、腹胀等症状,至当地医院就诊,查心脏彩超、 心肌酶谱+肌钙蛋白、生化指标均正常,心电图提示窦性心动过速,白细胞计数、超敏 C 反应蛋白偏高,遂予以口服抗生素治疗,具体不详,用药后上述症状无明显好转

  • 既往史:2019 年于当地医院行鼻窦手术治疗,术后恢复可

  • 影像检查:2023-11-04 胸部CT平扫;影像号:2992234

影像学表现

图片

实验室表现

图片

图片

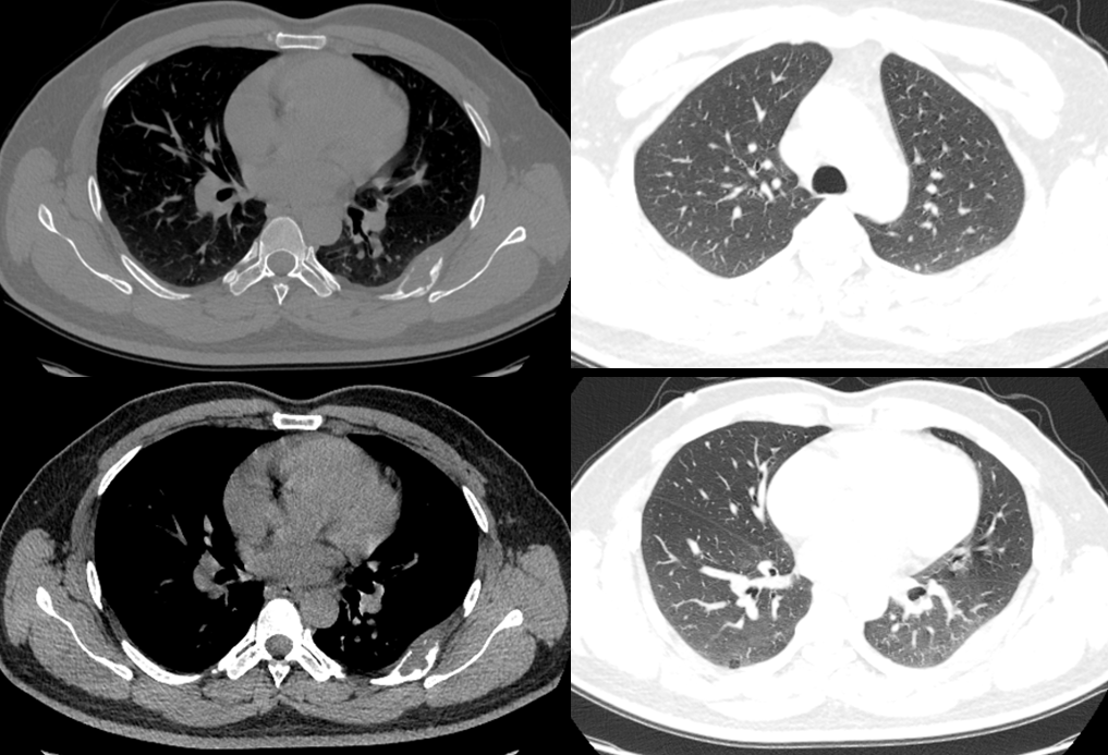
病例2

  • 男,34岁

  • 主诉:左侧背部疼痛一个半月

  • 现病史:患者一个半月前无明显诱因下出现左侧背部疼痛,无明显放射痛,无明显加重或缓解因素。无胸闷气喘、无咳嗽咳痰、无呼吸困难,无腹痛腹泻,无恶心呕吐,无发热寒战患者遂至外院就诊,查 PET/CT 示:1、左侧第6后肋 3.3×1.6cm 骨质破坏区,外形呈包壳样,骨皮质不连续,周围软组织及胸膜增厚,FDG 代谢增高,考虑左侧第6后肋恶性骨肿瘤伴病理性骨折可能性大

  • 影像检查:2022-02-09 胸部CT平扫;影像号:2423095

影像学表现

图片

实验室表现

图片

图片

图片

图片

图片

图片

图片

图片

图片

图片

图片

图片

图片

图片

图片

图片

图片

图片

图片

图片

图片

图片

图片

图片

图片

图片

图片

图片

图片

图片

图片

图片

图片

图片

图片

图片

图片

图片

图片

图片

图片

图片

图片

图片

图片

图片

图片

图片

图片

图片

图片

图片

图片

图片

图片

图片来源 东南大学附属中大医院放射科



200 评论

查看更多