查看更多
密码过期或已经不安全,请修改密码
修改密码
壹生身份认证协议书
同意
拒绝
同意
拒绝
同意
不同意并跳过

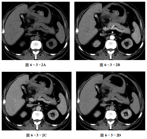
【病史摘要】 男性,72岁。上腹部隐痛1个月余。
【CT征象】 平扫示胆囊体积缩小,胆囊壁增厚、毛糙,胆囊腔内见环形高密度影(图6-3-2A)。
增强扫描胆囊壁及胆囊腔内病灶未见明显强化征象(图6-3-2B~D)。

【重要征象】 胆囊缩小伴囊壁均匀性增厚。
【CT拟诊】 ①慢性胆囊炎伴胆囊结石。②胆囊息肉。③胆囊腺肌症。④胆囊癌。
【病理诊断】慢性胆囊炎。
【评 述】 慢性胆囊炎(Chronic cholecystitis,CC)一般是由于胆囊长期持续或间断性刺激引起的慢性炎症改变,可为急性胆囊炎反复发作形成或开始就为慢性病程。基本病因为感染、胆汁排空受阻、结石阻塞、胆囊开口过低等。由于长期慢性炎症刺激,胆囊黏膜萎缩、粗糙不平,胆囊壁纤维组织增生、钙化,常表现为胆囊明显缩小;部分病例因胆囊管完全阻塞,表现为胆囊积水。瓷性胆囊是慢性胆囊炎后遗症,表现为胆囊周壁钙化,患胆囊癌的风险增加。
CT表现
① 胆囊体积明显缩小。② 胆囊壁均匀一致性增厚。③ 增强扫描胆囊壁均匀强化,多数黏膜线完整,仅少数病例因胆囊壁重度纤维化和炎性水肿导致黏膜线不完整。④ 胆囊窝与邻近肝实质的分界清晰。⑤ 一般无胆管扩张。
鉴别诊断
① 胆囊癌:胆囊体积增大或正常,胆囊壁呈不规则结节状增厚、僵硬,一般厚度超过5 mm,内壁凹凸不平,可有邻近肝实质、肝门部胆管及周围脂肪侵犯表现。② 胆囊腺肌症:胆囊壁局限性或广泛性不规则增厚,并可见憩室形成。③ 胆囊息肉:胆囊体积正常,胆囊壁局限性乳头状、结节状软组织密度突起,突向腔内。
本文摘自《CT读片指南》
活动页面累计签到4天获半年数字报
活动页面累计签到8天获1年数字报
活动页面累计签到15天同时阅读所有本书荐读章目者获实体书抽奖机会
[抽奖说明:本次活动抽奖名额根据书籍情况不同,本书抽奖限额2名,获奖者免费获赠《CT读片指南》实体书(附赠主编签名照)]

查看更多