查看更多
密码过期或已经不安全,请修改密码
修改密码
壹生身份认证协议书
同意
拒绝
同意
拒绝
同意
不同意并跳过

术语
良性血管性错构瘤
▫ 团块包含紧密排列的不成熟血管(“海绵状”),
无神经组织
病变内有不同时期的出血
海绵状血管畸形(CMs)形态可发生动态变化如增大、缩小、重构
影像
海绵状血管畸形(CMs)大小不等,可仅为显微镜下可见,也可>6cm
大小不等的分房内含有不同时期出血产物
▫ 表现取决于出血/时期
Zabramski 分类
▫ 1 型:为亚急性出血,T1WI 呈高信号,T2WI 呈高或低信号
▫ 2 型:因含有不同时期血液降解成分,T1WI/T2WI均呈混杂信号(典型的“爆米花球”样病变)
▫ 3 型:慢性出血,T1WI/T2WI 均呈低至等信号
▫ 4 型:T2* 表现为点状微出血,即“黑点”征
除硬膜外 CM,其他类型的海绵状血管畸形通常DSA 表现正常,即“血管造影隐匿性血管畸形”
主要鉴别诊断
动静脉畸形
出血性肿瘤
钙化性肿瘤
高血压微出血
淀粉样血管病

(左图)横断位示意图显示不同时期的海绵状血管畸形。右侧基底节见混杂信号(“爆米花球”征),为Zabramski 2型⇒,左额叶见亚急性出血伴水肿,为Zabramski 1型↪。多发性陈旧微出血(Zabramski 4型)表现为多灶性的黑点→。(右图)海绵状血管畸形大体病理切面,可见多房内不同时期的出血

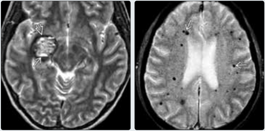
(左图)Zabramski 2型海绵状血管畸形,MR平扫横断位T2WI表现典型的“爆米花球”征。注意多个小房内的血-液平面→伴周围含铁血黄素环⇒。(右图)Zabramski 4型海绵状血管畸形,平扫MR横断位T2* GRE图像显示多发黑点,磁敏感加权序列表现为“晕征”→
本文摘自《儿童神经影像诊断学》
活动页面累计签到4天获半年数字报
活动页面累计签到8天获1年数字报
活动页面累计签到15天同时阅读所有本书荐读章目者获实体书抽奖机会
(抽奖说明:本次活动抽奖名额根据书籍情况不同,本书抽奖限额1名,获奖者免费获赠《儿童神经影像诊断学》实体书)

查看更多