查看更多
密码过期或已经不安全,请修改密码
修改密码
壹生身份认证协议书
同意
拒绝
同意
拒绝
同意
不同意并跳过
基本资料
性别:男性
年龄:67岁
主诉:患者因“反复腹痛一年”行B超提示右侧腹部接近脐水平混合低回声团。
现病史:右下腹间断性隐痛,与进食、排便无关,无恶心、呕吐,未停止肛门排气排便。
既往史:无
辅助检查
影像学检查:
2018-4-25全腹部增强CT:升结肠近端MT可能,左肾MT可能,肝囊肿,右肾小囊肿,前列腺增生,膀胱后壁结节状影。膀胱镜未见明显异常。
2018-04-27肠镜:升结肠癌病理示:(直肠占位)低分化癌,倾向腺癌。

2018-04-30 胸部CT:右肺内多发结节影,转移可能,左上肺大泡影。


2018.05.03在本院普外科全麻下行右半结肠切除术。
术后病理:
1、(右半结肠)高分化腺癌,局灶伴粘液腺癌分化,累及全层,上、下切缘未见癌累及。
2、(阑尾)单纯性炎。
3、(右半结肠淋巴结、回结肠淋巴结、肠旁淋巴结)未见癌转移(0/15)。
分期:pT3N0M1,IV期。
治疗方案:
一线治疗:
2018-6-2起予mFOLFOX6方案化疗10次。因经济原因未行基因检查、靶向治疗。
2018-9-22 PET-CT示:1.升结肠癌术后,术区切口下小结节灶,警惕转移 2.两肺多发结节灶,考虑转移 3.左肾实质未见异常。
2018-11-8起口服卡培他滨3*bid*14天 q3w方案维持化疗。
二线治疗:
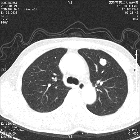
2019-1-21评估肺部转移进展,2019-2-23起予FOLFIRI化疗+贝伐单抗靶向治疗5次,末次化疗2019.4.20。



三线治疗:
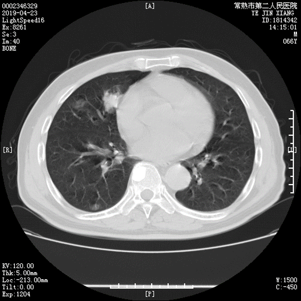
u2019-4-23复查CT提示病情进展,2019.5.5起予贝伐单抗+FOLFOX方案治疗,末次2019.6.16。



疾病进展检查结果:
2019-7-8胸部CT提示双肺转移灶增大,PFS:2.5个月。



REVERCE研究:三线先用拜万戈®R-C方案显著延长生存。
REVERCE研究:既往使用氟尿嘧啶、奥沙利铂及伊立替康治疗mCRC患者先后不同顺序使用瑞戈非尼(R)和西妥昔单抗(C)治疗的随机Ⅱ期研究。在既往治疗中,96%的患者使用了抗血管方案。
R-C方案显著延长总体OS至17.4个月


RAS/BRAF野生型患者使用R-C方案的OS更长


REVERCE研究主要终点:
贝伐珠单抗进展后R-C组患者中位OS为17.4个月,较C-R组患者中位OS的11.6个月,绝对获益为5.8个月,降低死亡风险39%,P值为0.029。由此可见,贝伐珠单抗进展后R-C组显著延长mCRC患者生存获益。
疗效评价:
2019-07-16口服瑞格菲尼120mg qd,复查CT:双肺转移灶较前明显缩小。
2019-7-8:



2019-9-9:



2019-07-16口服瑞格菲尼120mg qd,复查CT:双肺转移灶较前明显缩小。
2019-11-29:



2020-03-07:



治疗小结:
2018-4发病:结肠癌肺多发转移;
2018-5-3行右半结肠切除术;
2018-6-2起行mFOLFOX6;
2018-11-8起口服卡培他滨单药维持化疗;
2019-7-8 评估:进展2019-07-16口服瑞格菲尼120mgqd PFS:2.5个月;
2019-4-23评估进展, 2019-5-5起予贝伐珠单抗+FOLFOX。 PFS:3个月;
2019-1-21评估进展,2019-2-23起予FOLFIRI化疗+贝伐单抗靶向治疗5次 PFS:8个月。
病例总结:
1.该患者术前即有双肺多发小结节 ,考虑转移可能,无法病理明确,考虑即使转移也进展较慢 ,外科医生采取了原发灶切除。肾脏占位考虑肾癌,因入径不同,未能同步手术,选择定期随访,现全程未见变化。
2.姑息术后治疗依据右半结肠指南建议,经济条件受限未能基因检测,未能达精准治疗标准。
3.经贝伐单抗抗血管生成靶向药耐药后换用瑞格非尼继续有效 ,一度出现肿块缩小、空洞形成,证实持续抗血管治疗的作用。目前患者出现缓慢进展,身体状况好,可考虑继续化疗。全程管理中加入小分子靶向药为患者赢得了生存获益和生活质量的改善。
查看更多