查看更多
密码过期或已经不安全,请修改密码
修改密码
壹生身份认证协议书
同意
拒绝
同意
拒绝
同意
不同意并跳过
基本资料
性别:女
年龄:49岁
主诉:直肠癌术后化疗后14月,肺转移放疗后8月
现病史:
XELOX化疗4程 (2015.12-2016.3)
直肠癌根治术(2016.4.5)
直肠上段中分化腺癌,脉管/神经 -,LN 0/15, ypT2N1M0,III,pMMR
XELOX化疗2程 (末次 2016.6.2)
双肺转移 (2016.11)
双肺转移结节放疗 (左肺1枚,右肺2枚, 8F, 2016.12.7)
双肺转移进展 (2017.8.10)
既往史:子宫肌瘤切除术
家族史:母亲患“结肠癌”去世
辅助检查
查体:ECOG PS 1分,浅表LN(-),肛检(-)
实验室检查:
分子诊断:



病理:
影像学检查:
胸腹盆CT: 双肺转移

影像学诊断:直肠癌术后肺转移
病理诊断:直肠中分化腺癌 pMMR, Her-2(-) u分子诊断:RAS, BRAF基因野生型 uCEA 10.83ng/ml,CA19-9 < 0.600U/ml
无治疗禁忌症:血常规、肝肾功能、HBV DNA、心电图(-)
诊断:
直肠中分化腺癌癌综合治疗后 肺转移 IV 期pMMR,RAS, BRAF野生型
治疗过程:
左肺转移消融
2017.8.22于我院介入科行肺转移微波消融术
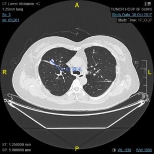
初诊 左肺转移消融后
CanStem303C临床研究RCT:
研究中心分布:北美、欧洲、澳大利亚、南美、亚洲(包括日本、中国、韩国等)
分层
地理区域(北美/西欧/澳大利亚 vs. 日本/韩国 vs.
世界其他地区)
一线治疗开始至出现疾病进展的时间(< 6个月 vs. ≥6个月)
肿瘤RAS突变状态(野生型 vs. 突变型)
贝伐珠单抗作为方案治疗的一部分(是 vs. 否)
原发肿瘤部位(左半结肠 vs. 右半结肠)
既往BBI-608联合FOLFIRI治疗有效性
ASCO 2017 — 82例经过多线标准化治疗失败的CRC患者(平均>2线化疗)

46例患者中,40可评估:
82名患者中66例为可评估患者
1例CR(1.5%),13例PR(20%),41例SD (75%的SD患者肿瘤体积缩小),DCR为83%

二线化疗:
二线化疗方案:Folfox+Bev+BBI
疗程:13
治疗起止日期:2017/11/07 ~2018/05/15
治疗时间:6.3m
PFS:8.1m
最佳疗效:SD
不良反应:II度中性粒减少;I度腹泻
基线:

4程后SD:

8程后SD:

12程后SD:

右肺转移消融
2018.7.16于我院介入科再次行肺肿瘤微波消融术
右肺转移消融前:

右肺转移消融后:

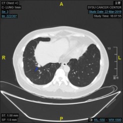
2019.3.22:

Ib/II 期研究设计:
研究目的:
评估mCRC患者Regorafenib + JS001 的MTD; 进而评估Regorafenib + JS001疗效和安全性。

治疗: JS001 3mg/kg 或 1mg/kg, iv, d1, d15, Q4w
Regorafenib 80/120/160 mg, po, d1-d21, Q4w
观察期:
Ib期, 大约需8m : 每组入3人,最多4组,每2m(入组1m+ DLT观察期1m)x 4 = 8m
II期, 大约需12m : 多中心共入组23-29人
三线治疗:
三线治疗方案:Rego+JS001
疗程:10
治疗起止时间:2019/03/27~2020/01/20
治疗时间:10m
最佳疗效:PR
不良反应:1°乏力, 2°HFS,1°便血, 1°高血压,1°甲亢
PD时间:未PD
三线PFS:10m
基线:
2程后SD:
4程后PR:
6程后PR:
病例总结:
1、论持久战——药尽其用&排兵布阵,达到良好的疗效,如长OS或PR的病人。
2、对于晚期三线的病人,对于瑞戈非尼联合免疫,是否有优势病人可以筛选?
3、REGONIVO研究,对于肺转移患者似乎看到更好的疗效,实际临床应用,如何选择更合适的剂量?
查看更多