查看更多
密码过期或已经不安全,请修改密码
修改密码
壹生身份认证协议书
同意
拒绝
同意
拒绝
同意
不同意并跳过
【病史摘要】
男性,22岁。间断肉眼血尿。CT检查结果如下:

【CT征象】
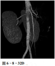
增强扫描示肠系膜上动脉与腹主动脉之间的左肾静脉受压狭窄,狭窄后管腔扩张增粗(图6-8-32A、B),矢状位MIP示肠系膜上动脉与腹主动脉夹角约为15°(图6-8-32C),VR示肠系膜上动脉与腹主动脉夹角变小(图6-8-32D)。
【重要征象】
肾静脉受压狭窄,肠系膜上动脉与腹主动脉夹角变小。
【CT拟诊】
①“胡桃夹”综合征。
②肿大的淋巴结压迫左肾静脉。
③腹膜后肿瘤压迫左肾静脉。
④肾静脉血栓。
【最终诊断】
“胡桃夹”综合征。
【评述】
“胡桃夹”综合征,又称“左肾静脉压迫综合征”,是指走行于腹主动脉和肠系膜上动脉之间的左肾静脉受到挤压而致管腔狭窄,造成左肾静脉高压和扩张而引起的一系列临床症状。好发于体型较瘦的青少年,男性多见。
临床表现为非肾小球性血尿、直立性蛋白尿、腹痛、生殖静脉曲张、反应性盆腔淤血和肾脏淤血等。男性可有左侧精索静脉曲张;女性可出现腰痛、盆腔不适和月经增多等。
病变分型
①前胡桃夹综合征:常见左肾静脉走行于腹主动脉和肠系膜上动脉之间,受到挤压而致管腔狭窄,造成左肾静脉高压和扩张而引起的一系列临床症状。
②后胡桃夹综合征:少见左肾静脉走行于腹主动脉与脊柱间(主动脉后型左肾静脉)并受到两者的挤压,引起与前“胡桃夹”综合征类似的病理生理及临床表现。
CT表现
①正常腹主动脉与肠系膜上动脉间的夹角为25°~60°,平均为45°,夹角<35°可造成左肾静脉受压。
②鸟嘴征:左肾静脉在穿过腹主动脉及肠系膜上动脉夹角处受压变窄成三角形,其远端管径扩张。
③左肾淤血造成左肾体积较右肾增大。
④可伴侧支循环血管形成及左肾静脉属支曲张。
鉴别诊断
①左肾静脉血栓:增强扫描左肾静脉内充盈缺损,慢性期血栓可导致左肾静脉纤细,肾周可见侧支血管。
②腹膜后肿瘤压迫左肾静脉:腹膜后可见肿块影,增强扫描呈不同程度强化,邻近左肾静脉可受压狭窄。
③肿大的淋巴结压迫左肾静脉:腹膜后转移性淋巴结或淋巴瘤可压迫左肾静脉,增强扫描淋巴结不均匀强化,并可见原发肿瘤,淋巴瘤则呈轻中度均匀强化。
本文摘选自凤凰医学出版社《CT读片指南》
查看更多