200
评论
查看更多
密码过期或已经不安全,请修改密码
修改密码
壹生身份认证协议书
同意
拒绝
同意
拒绝
同意
不同意并跳过
病例汇报
患者,男,55岁。既往体健。
简要病史:
因咯血半月入院。
入院前半月无诱因出现咯血,为鲜红色,每日约2~3ml,无胸闷、憋气,无胸痛,伴咳嗽、咳痰,为白色黏液痰,易咳出,无发热,院外未予治疗。
体格检查:
T:36.0℃;P:86次/分;R:19次/分;Bp:150/90mmHg。神志清楚,呼吸平稳,浅表淋巴结不大,双肺叩清音,双肺闻及湿性啰音,心率86次/分,律齐,无杂音。全腹无压痛,肝脾肋下未触及,双下肢无水肿。
辅助检查:
血脂六项:总胆固醇5.54 mmol/L,甘油三酯3.25 mmol/L,高密度脂蛋白0.83 mmol/L,低密度脂蛋白3.4 mmol/L。
血常规、D-二聚体、血气分析、肝肾功能及心肌酶谱大致正常。
尿便常规:大致正常。
心脏及双下肢彩超:未见明显异常。
胸部CT :双肺多发斑片状磨玻璃影,肺出血?肺栓塞?




这么典型的肺CT你见过吗?
临床诊断是什么呢?
看不懂的话,先看以下3个病例。
病例1

女,70 岁, CT示右肺下叶片状实变影,周围可见多发磨玻璃密度影(A);右肺下叶实变影伴支气管气象(B)。
病例2

男,67 岁,CT 增强示左肺下叶团块影,与胸膜广基底接触,并且邻近胸膜增厚形成胸膜尾征(箭头处)。
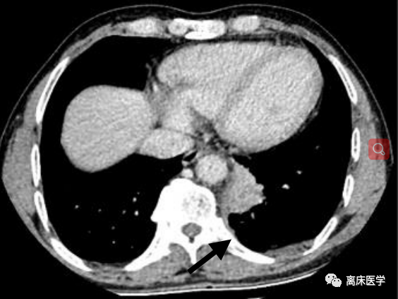
病例3

男,63 岁, CT 示左肺下叶团块影,边缘呈平直征(箭头处)。
再看看原病例病理结果

临床诊断:隐源性机化性肺炎
本文首发于离床医学公众号 作者云南省文山州人民医院黄江义 病例提供者河北沧州李梦杰
查看更多