查看更多
密码过期或已经不安全,请修改密码
修改密码
壹生身份认证协议书
同意
拒绝
同意
拒绝
同意
不同意并跳过
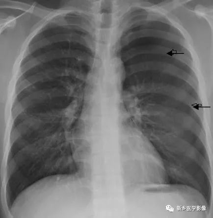
(一)气胸
空气进入胸膜腔内,改变了正常胸腔的负压状态,使得肺脏部分或完全向肺门方向压缩形成气胸。气胸可由壁层胸膜和/或脏层胸膜破裂引起。壁层胸膜破裂多为外伤、手术及胸腔穿刺引起。脏层胸膜破裂多为肺部病变引起(如胸膜下肺大泡、重度肺气肿等)。当胸膜破裂口呈活瓣样改变,气体只进不出或少出时,可形成张力性气胸。

左侧气胸X线胸部正位片图(↑示压缩线)
少量气胸表现为肺向肺门方向压缩,其外侧可见被压缩肺的边缘(气胸线),气胸区域呈均匀、无肺纹理走行的透亮影。大量气胸时,肺向肺门回缩,肺门处可见团块状软组织密度影。患侧肋骨平举,肋间隙增宽,纵隔向对侧移位。CT对少量气胸的诊断、观察要明显优于X线。
(二)胸膜腔积液
当病变累及胸膜时可引起胸膜腔积液。积液性质可因病因不同而不同,可以是渗出液、漏出液、血性或乳糜性积液。胸膜腔积液可分为游离性和局限性。
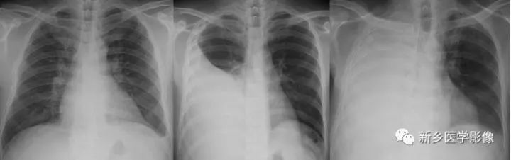
1. 游离性胸膜腔积液
一般以第2及第4前肋端下缘位置将胸膜腔积液划分为少量积液、中量积液及大量积液。

胸膜腔积液X线胸部正位片图
a. 左侧少量胸膜腔积液 b. 右侧中量胸膜腔积液 c. 右侧大量胸膜腔积液

两侧胸腔积液合并肺不张胸部CT图
(1)少量积液
积液上缘未达到第4前肋水平。立位时液体最先集聚于后肋膈角,此时侧位片可显示后肋膈角变钝,而正位片则显示不清。当积液量达300ml左右时,胸部正位片可见患侧肋膈角变钝。透视下可见液体随呼吸运动及体位的改变而移动,借此可同轻度胸膜增厚、粘连相鉴别。
(2)中等量积液
积液上缘超过第4前肋但尚未达到第2前肋端下缘时,为中量胸膜腔积液。站立位时,由于液体在重力作用下聚于胸腔下部,其下方肺野表现为均匀致密影,肋膈角消失。在胸腔内的负压状态以及液体表面张力等因素作用下,液体上缘表现为外高内低凹面向上的弧形影。
(3)大量积液
积液上缘超过第2前肋水平,患侧肺野致密或仅露出少量肺尖组织。纵隔向健侧移位、肋间隙增宽、膈肌下降。
2. 局限性胸膜腔积液
(1)胸壁包裹性积液
由于脏、壁两层胸膜粘连而使积液相对局限于侧胸壁或前、后胸壁称之为胸壁包裹性积液。好发于侧后胸壁,于切线位可见自胸壁向肺野突出的半圆形或梭形均匀高密度影,边界光滑,其上下缘与胸壁夹角呈钝角。常见于胸膜炎、胸膜结核。

侧胸壁包裹性积液X线胸部正位片、CT图像
a. X线胸部正位片示两下侧胸壁包裹性积液 b. CT纵隔窗示左下侧后胸壁包裹性积液
(2)叶间积液
为局限于叶间裂间隙的积液。表现为叶间裂部位密度均匀的梭形或弧形致密影。水平裂积液正、侧位胸片均可观察,斜裂积液正位片诊断较难,侧位易于观察。

叶间裂积液图像
a. X线胸部正位片示右侧水平叶间裂梭形致密影(↑) b. CT肺窗示左侧斜裂梭形高密度影
(3)肺底积液
指集聚于肺底与膈肌之间的积液。多为单侧,右侧多见。液体上缘类似膈肌抬高,一般假膈顶最高位置偏外。

右侧肺底积液图像
a. X线胸部正位片示右“膈”影抬高,最高点偏外 b. CT示肺底部充满水样密度影。
CT对胸膜腔积液显示更佳,特别是对少量或局限性胸膜腔积液的诊断明显优于X线。MRI在胸腔积液的诊断中同CT相比更具优势,不但敏感性高,而且还可根据MRI的信号特点推断液体成分和性质。
(三)液气胸
液气胸为胸膜腔内同时存在液体与气体。多见于外伤、胸腔手术或穿刺、气胸后的少量积液或胸腔积液并发支气管胸膜瘘。

右侧液气胸X线图像
a. 胸部正位片示右侧上中肺野中外带高度透亮,透亮区内无肺纹理,下方见气液平面 b. 胸部侧位片见跨前后胸的宽大气液平面

右侧液气胸CT图像
CT肺窗示右侧肺压缩,外围高度透亮,透亮区内无肺纹理,后方见气液平面
X线表现为上部积气、下部积液的气-液平面。如出现脏、壁层胸膜粘连,也可形成局限型液气胸或多房性液气胸。CT对液气胸的诊断、观察优于X线。
(四)胸膜肥厚、粘连及钙化
胸膜炎症引起的纤维素性渗出、肉芽组织增生及外伤性出血机化等均可引起胸膜的肥厚、粘连及钙化,轻度局限性胸膜肥厚、粘连多发生于肋膈角,表现为肋膈角变浅、变钝,呼吸时膈肌运动受限。发生于膈肌的胸膜粘连常表现为膈面的幕状突起。广泛胸膜增厚粘连时,胸膜可见带状或更广泛高密度影,胸廓塌陷,肋间隙变窄,患侧肺野密度增高,膈肌上抬,纵隔向患侧移位。胸膜钙化多见于结核性胸膜炎,也可见于脓胸及出血机化或尘肺。CT显示胸膜肥厚、粘连和钙化比普通X片敏感,MRI检查不如X线及CT。

左侧胸膜肥厚X线正位胸片图
左侧肋膈角变钝,沿侧胸壁不规则致密影

左侧胸膜肥厚、钙化图像
a. 胸部正位片示左侧广泛胸膜肥厚、不规则条状钙化 b. CT纵隔窗示左侧胸膜肥厚、弧形钙化
(五)胸膜肿块
胸膜肿块多见于原发性或转移性肿瘤,也可见于机化性脓胸。良性胸膜肿块常为局限性,如良性胸膜间皮瘤、纤维瘤、脂肪瘤、平滑肌瘤等。恶性胸膜肿块多弥漫性生长或呈分叶状胸膜增厚,可伴有或不伴有胸膜腔积液、肋骨破坏或软组织受累,如恶性胸膜间皮瘤、胸膜转移性肿瘤、肉瘤等。
影像学上表现为半球形或不规则均匀软组织密度影,恶性者密度可不均匀,肿块一般边界清晰,与胸壁呈钝角。CT上有时可见肿块周边与邻近增厚胸膜相延续形成胸膜尾征。胸膜结核球、包裹性胸腔积液与胸膜肿块相似,CT、MRI检查较X线检查能更好地鉴别肿块的性质。


左侧后胸壁梭形肿块,其内见点状钙化,侵犯局部肋骨(↑)
本文首发于新乡医学影像
查看更多