壹生大学

壹生身份认证协议书

本项目是由壹生提供的专业性学术分享,仅面向医疗卫生专业人士。我们将收集您是否是医疗卫生专业人士的信息,仅用于资格认证,不会用于其他用途。壹生作为平台及平台数据的运营者和负责方,负责平台和本专区及用户相关信息搜集和使用的合规和保护。
本协议书仅为了向您说明个人相关信息处理目的,向您单独征求的同意,您已签署的壹生平台《壹生用户服务协议》和《壹生隐私政策》,详见链接:
壹生用户服务协议:
https://apps.medtrib.cn/html/serviceAgreement.html
壹生隐私政策:
https://apps.medtrib.cn/html/p.html
如果您是医疗卫生专业人士,且点击了“同意”,表明您作为壹生的注册用户已授权壹生平台收集您是否是医疗卫生专业人士的信息,可以使用本项服务。
如果您不是医疗卫生专业人士或不同意本说明,请勿点击“同意”,因为本项服务仅面向医疗卫生人士,以及专业性、合规性要求等因素,您将无法使用本项服务。

同意

拒绝

同意

拒绝

知情同意书

同意

不同意并跳过

工作人员正在审核中,
请您耐心等待
审核未通过
重新提交
完善信息
{{ item.question }}
确定
收集问题
{{ item.question }}
确定
您已通过HCP身份认证和信息审核
(
5
s)

肿瘤与主胰管距离小于2毫米,华西胰腺外科成功切除肿瘤,保留胰腺!

2024-06-01作者:论坛报岳岳资讯
非原创

患者36岁,女性,

外院就诊提示胰腺肿瘤,

多家医院告知需切除胰腺体尾部,

但这样可能有新发糖尿病风险,

因此,患者到华西医院就诊,寻求只切除肿瘤,保留胰腺的治疗方式。

今天,让我们一起来看,四川大学华西医院胰腺外科谭春路副主任医师团队联合消化内科王瑞副主任医师、超声医学科钟晓绯副主任技师,突破技术瓶颈,为这名胰体部实性假乳头状瘤患者,成功实施循胰管入路胰腺肿瘤局部切除术。


辗转多家医院,均需切除胰腺体尾部


患者36岁,女性,因尿路结石在外院就诊行CT检查,结果提示,胰腺体部见一囊实性结节影,大小约1.4 cm×1.9 cm,边界尚清晰。


增强扫描病灶内见少许强化分隔影,主胰管穿行于肿瘤中但未见扩张。患者辗转多家医院均被告知需行胰腺体尾部切除,甚至可能切除脾脏。如果切除胰腺体尾部,就意味着可能出现新发糖尿病的风险。


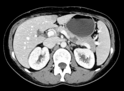
图 术前腹部增强CT


拟行胰腺肿瘤局部切除,保留胰腺


2024年1月18日,患者到华西医院就诊后,收入胰腺外科。


根据患者的具体情况结合本人意愿,谭春路副教授考虑肿瘤为低度恶性,患者也比较年轻,建议可采用循胰管入路胰腺肿瘤局部切除术,也就是说,在切除肿瘤的同时尽量保留胰腺。


为了提高肿瘤局部切除成功率,谭春路副教授邀请消化内科王瑞副教授为患者行内镜超声检查。检查结果提示胰体部见一囊性占位,质地软,截面大小约2.2 cm×1.6 cm,内见多发分隔,病变包绕主胰管但小于180°,主胰管不扩张,最大直径约2 mm。


多学科讨论后认为,虽然肿瘤紧贴主胰管但胰管不扩张,说明胰管有从肿瘤上分离出来的可能,也就是说有局部切除的希望。专家们权衡利弊后决定拟行胰腺肿瘤局部切除,并请超声医学科钟晓绯副教授行术中超声再次定位肿瘤与主胰管的空间位置。


裸化主胰管,切除肿瘤,保留胰腺


1月25日,手术进行。术中胰腺体部可见一直径约2.5 cm囊实性占位,主要位于胰体上后方,距离胰腺尾部约7 cm处。


钟晓绯副教授通过术中超声确认肿瘤与主胰管的空间关系,判断包绕角度小于180°。术中,谭春路副教授仔细将肿瘤与主胰管和脾脏动静脉分离,将直径仅有2 mm、长约2 cm的主胰管完全裸化,最后成功切除肿瘤,保留胰腺等器官。


图:术后复查腹部增强CT


手术历时3小时,术中出血200 ml,术后患者顺利出院,且病理检查提示为胰腺实性假乳头状瘤。术后2月,患者复查显示恢复良好,饮食未受影响,血糖监测正常。



突破2 mm瓶颈,胰腺肿瘤局部切除百例


胰腺肿瘤局部切除主要用于胰腺良性/低度恶性肿瘤的手术治疗,可保留十二指肠、脾、胆道等胰腺周围器官和尽可能多的正常胰腺组织,更重要的是完整保留了患者正常的胰腺解剖结构,避免胰肠吻合带来的远期并发症,降低患者因为手术而出现新发糖尿病的风险以及对术后生活质量的影响。


该技术难点在于,胰管直径通常小于3 mm,术中很难识别,对紧贴胰管的肿瘤行局部切除术存在损伤主胰管的风险,并且难以在术中发现胰管损伤,进而给患者造成胰瘘、梗阻性胰腺炎、胰腺假性囊肿等严重并发症。故国际专家共识认为如果病变与主胰管的距离小于3 mm需要谨慎开展此术式,小于2 mm不适合开展此术式。


近年来,华西医院胰腺外科谭春路副教授团队通过技术改进,提出“主胰管入路”的技术方法,在术前超声内镜和术中彩超的多学科协作下,突破了小于2 mm不适合开展此术式的技术瓶颈,安全开展胰腺肿瘤局部切除近百例。此例手术的成功,再次证明主胰管长距离的裸化是安全可行的,也对在肿瘤部分包绕主胰管的情况下开展局部切除术积累了宝贵的临床经验。


本文专家



来源:四川大学华西医院

200 评论

查看更多