查看更多
密码过期或已经不安全,请修改密码
修改密码
壹生身份认证协议书
同意
拒绝
同意
拒绝
同意
不同意并跳过
前 言
小细胞肺癌(SCLC)约占肺癌的15%~20%,其吸烟相关比例高达98%。SCLC是起源于支气管黏膜或腺体的一类肺恶性肿瘤,其生长速度快,侵袭性强,约2/3 SCLC的患者在确诊时已发生转移。本例患者就是在病理活检之前已发生广泛的骨髓转移。
案例经过
下班前半小时,呼吸内科病房送来一份骨穿标本,常规编号染色,低倍镜下看看有无血稀,只见满视野都是清一色的细胞。
急性白血病?赶紧看一眼申请单,老年男性,咯血2天,血常规仅血小板减少,CT示右肺门占位,似乎临床不符合急性白血病。
这时,“叮铃铃”电话铃响起,打电话的正是患者的床位医生:“你好,我想问问刚送下来的某某的骨穿有初步结果吗?”“这个患者有问题,是肺癌吗?有做病理活检吗?”“还没有,刚收入院的新患者”一番简单的对话,我的心里已经有谱了,又是一个恶性患者。
案例分析
病史简介
患者,男,64岁,2天前无明显诱因下出现咳嗽,咯血,咯整口鲜红色血约20余口,无发热,无鼻塞,流涕,无胸痛,无胸闷气喘,夜间可平卧,无恶心呕吐,无鼻出血,无牙龈出血,遂急诊入院
实验室检查
血常规:WBC 6.79×109/L,N 76.6%,L 12.2%,Hb 122 g/L↓,PLT 44×109/L↓,C反应蛋白1.5 mg/L。
凝血组合:纤维蛋白原 4.34 g/L↑,D-二聚体6230 ug/L↑
肾功能:钾4.38 mmol/L,钠122.2 mmol/L↓,氯89.9 mmol/L↓,钙2.10 mmol/L,二氧化碳结合力23.1 mmol/L
心肌酶谱:乳酸脱氢酶2064 U/L↑,肌酸激酶-MB同工酶38.0 U/L↑
肺癌标志物:NSE 317.7 ng/mL↑,细胞角蛋白19片段2.37 ng/mL
肿瘤四项:均正常
胸部CT:右肺门占位,右肺上叶阻塞性炎症,右肺上叶支气管闭塞,纵隔淋巴结肿大,右侧内乳淋巴结肿大
既往史
3月来反复低钠血症,有高血压病史10余年,2020年8月5日胃腺瘤内镜手术史,有肾上腺瘤病史
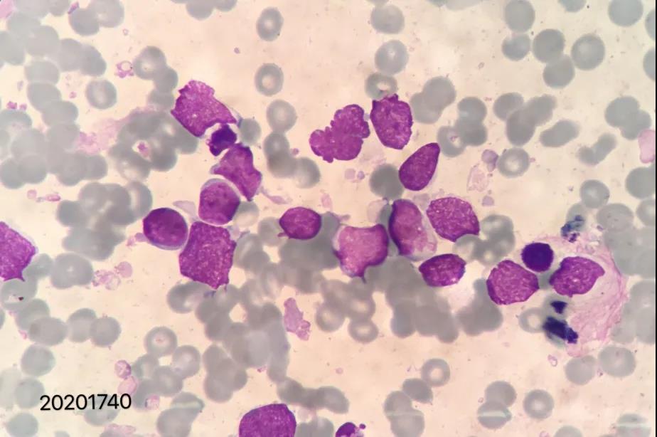
骨髓涂片
(滑动查看更多)

病理
内镜组织活检恶性肿瘤,倾向小细胞癌,待免疫组化明确诊断


支气管镜刷片
小细胞恶性肿瘤细胞


心得体会
【小细胞肺癌相关知识】
小细胞肺癌(SCLC)是肺癌中分化最低,恶性程度最高的一型,多发生于肺中央部。光镜下,癌细胞小而呈短梭形或淋巴细胞样,胞浆少,似裸核,或癌细胞呈团样排列,聚集成堆。
主要包含3种亚型,即淋巴细胞(燕麦细胞)型和中间细胞型(梭形,多角型及其他)以及混合型。3种亚型间预后无明显差别。
小细胞肺癌的临床主要表现为刺激性的干咳、咳痰、胸闷气短以及胸痛等症状,小细胞癌也可以引起低钠血症。
最常见的实验室异常为LDH增高,LDH是细胞进行糖酵解过程中的一种重要的氧化还原酶,恶性肿瘤组织的糖酵解高于正常组织,尤其是恶性程度高、分期晚的患者LDH升高明显,且预后差,SCLC对放化疗敏感,但复发率较高且容易形成抵抗,预后较差。
本例患者癌细胞外形欠规则,胞浆极少见,淡蓝色,部分似裸核样,核形尚规则,核染色质较细致,核仁不清楚,易见涂抹细胞。由于发生广泛的骨髓浸润,酷似急性淋巴细胞白血病髓象。
通常实体瘤骨髓转移的细胞常呈局灶性浸润、肿瘤细胞呈团块状分布,常伴有瘤细胞的融合和骨髓坏死。骨髓转移癌往往是分布在正常造血细胞中,或是在片头、片尾呈高度挤压巢状、片状,需要我们用低倍镜仔找寻找。
而本例患者满视野均为弥散分布的肿瘤细胞,容易误认为白血病,但是仔细观察,还是能发现部分细胞呈粘连或聚集的团状分布,低倍镜下全片浏览,发现片头及边缘可见成团聚集细胞,结合临床表现和影像学检查,考虑骨髓转移癌的可能性更大。
这个病例让我深深感受到两点:一是检验人不能只关注检验结果,也要掌握一些疾病的临床知识以及与检验结果的相关性,二是我们形态检验者与临床沟通也很重要,在第一时间告诉临床建议进一步检查后,病理活检证实该患者为小细胞肺癌,为患者争取了最及时的治疗。
【参考文献】
[1]车轶群,罗扬,王迪,沈迪,杨琳.小细胞肺癌骨髓转移患者的临床分析[J]中国肺癌杂志,2018,21(5):403-407.
[2]罗志国,冯奉仪,王兴元,张频.小细胞肺癌骨髓转移29例临床分析[J]实用癌症杂志,2004,19(6):609-611.
作者 | 王珏
单位 | 无锡市人民医院
来源:检验医学

查看更多