壹生大学

壹生身份认证协议书

本项目是由壹生提供的专业性学术分享,仅面向医疗卫生专业人士。我们将收集您是否是医疗卫生专业人士的信息,仅用于资格认证,不会用于其他用途。壹生作为平台及平台数据的运营者和负责方,负责平台和本专区及用户相关信息搜集和使用的合规和保护。
本协议书仅为了向您说明个人相关信息处理目的,向您单独征求的同意,您已签署的壹生平台《壹生用户服务协议》和《壹生隐私政策》,详见链接:
壹生用户服务协议:
https://apps.medtrib.cn/html/serviceAgreement.html
壹生隐私政策:
https://apps.medtrib.cn/html/p.html
如果您是医疗卫生专业人士,且点击了“同意”,表明您作为壹生的注册用户已授权壹生平台收集您是否是医疗卫生专业人士的信息,可以使用本项服务。
如果您不是医疗卫生专业人士或不同意本说明,请勿点击“同意”,因为本项服务仅面向医疗卫生人士,以及专业性、合规性要求等因素,您将无法使用本项服务。

同意

拒绝

同意

拒绝

知情同意书

同意

不同意并跳过

工作人员正在审核中,
请您耐心等待
审核未通过
重新提交
完善信息
{{ item.question }}
确定
收集问题
{{ item.question }}
确定
您已通过HCP身份认证和信息审核
(
5
s)

罗欣医生-寡转移前列腺癌病例

2023-12-21作者:医学论坛报秋宇资讯



基本情况

49岁,何某某,尿频、尿急3月于2014-10-15入院。


DR:前列腺肿大约7*7*6cm, 质硬,触痛,部分边界欠清。


PSA:235.4ng/ml。


盆腔MR:1.盆腔肿块,约 76*79*68cm,考虑前列腺癌并侵犯双侧精囊腺,同邻近膀胱壁分界不清,并左侧输尿管下段轻度扩张,左侧髂腰肌旁淋巴结转移可能性大。2.盆腔少量积液。


骨扫描未见明确骨转移灶。


前列腺穿刺活检示前列腺癌,Gleason评分8分(4+4)。





诊断及分期

前列腺腺癌pT4NxM1a

(mHSPC,高危)


* 高危的定义为满足至少以下两项高危标准:

T3或T4

Gleason 评分 8-10

PSA≥40 ng/ml





治疗循证

ALGORITMO 2018


微信截图_20231221160319.png


ADT+阿比特龙+强的松 (AAP) vs. ADT+安慰剂——LATITUDE研究


微信截图_20231221153218.png


ADT+AAP较单独去势显著改善高危mHSPC的OS和rPFS 


图片1.png

图片37.png


中位随访30.4月

3年OS:ADT+AAP组 66% vs. ADT+安慰剂组 49%,HR0.62, P<0.001

rPFS: ADT+AAP组 33.0个月 vs. ADT+安慰剂组 14.8个月,HR0.47, P<0.001

mHSPC :高危转移性去势敏感前列腺癌

ADT+AAP:ADT+阿比特龙+强的松


LATITUDE研究—ADT+阿比特龙与单独ADT的主要不良反应率相当


微信截图_20231221153512.png


CHAARTED Study Design


图片38.png


CHAARTED


图片39.png


Localized and Locally Advanced Prostate 


High-risk localized and locally advanced prostate cancer: cT3a or Gleason score 8-10 or PSA > 20 ng/mL


微信截图_20231221154320.png





治疗经过

予诺雷德+比卡鲁胺新辅助内分泌治疗三月。

2014.12.17 PSA0.09ng/ml

2015.01.15 PSA0.05ng/ml





疗效评价

MR:前列腺癌治疗后复查,肿块较前明显缩小(3x3x2cm);侵犯左侧精囊腺,膀胱左后壁,并左侧输尿管下段轻度扩张;左侧髂腰肌旁淋巴结,已消失。





治疗循证

原发灶治疗(放疗)


放射科专家的意见:临床研究对放疗是否有益于寡转移PCa还不完全一致。


STAMPEDE研究H臂结果提示放疗对低负荷患者有获益

  • STAMPEDE研究是在英国和瑞士的117个中心,多组,随机对照试验

  • STAMPEDE研究-H组旨在研究对前列腺原发灶的局部治疗是否会改变预后

  • 819名寡转移,没有接受过任何治疗的患者,按照1:1随机分组。

  • 实验组:标准治疗(ADT+/-多西他赛)+ RT

  • 对照组:标准治疗(ADT+/-多西他赛)


STAMPEDE研究-H组:局部治疗使无进展生存获益


图片40.png


STAMPEDE研究-H组:局部治疗对总生存获益不明显


图片41.png


STAMPEDE研究H臂结果:低负荷患者OS和FFS获益


图片42.png


原发灶治疗(手术)改善OS-回顾性研究


图片43.png


一项回顾性研究:2004-2010年间确诊为IV期(M1a-c)前列腺癌的男性,根据治疗方法分组如下:

RP:根治性前列腺切除术

BT: 近距离放射治疗

NSR:既没有手术也没放疗

RP和BT的OS显著长于无治疗组(P<0.001)


图片44.png

另外一项德国回顾性研究:1998-2010年间确诊为转移性前列腺癌的1538名男性


RP组OS显著长于无治疗组(p < 0.01)


局限性: 数据库中没有提供患者的骨转移程度,因此有可能接受手术的都是低负荷的患者,这解释了该组的生存优势。并且接受RP组的患者数量过少,有可能是一群有特殊表型,经过选择的患者。





诊疗经过

2015.01.23:前列腺根治性切除+膀胱部分切除+左侧输尿管膀胱再植+盆腔淋巴结清扫术


术中见:肿瘤侵犯膀胱前列腺交界处左侧壁,并与盆壁粘连,左侧输尿管扩张积液,前列腺大小约3*2*1.5cm。


病理:前列腺腺泡腺癌,Gleason评分3+2=5分,肿瘤侵犯膀胱左侧壁Gleason评分5+5=10分,盆腔淋巴结阴性。





患者情况

PSA变化情况


微信截图_20231221155426.png


微信截图_20231221155518.png


2017.08.16 PSA38.29ng/ml 睾酮0.12ng/dL。

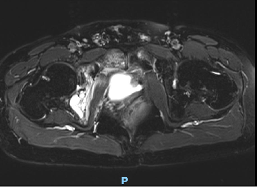
复查盆腔MR:


微信截图_20231221155956.png



前列腺癌术后复发,并侵犯膀胱左后壁。

双侧髋臼、坐骨、耻骨联合多发骨转移瘤。





诊疗循证

ALGORITMO 2018


微信截图_20231221160816.png


mCRPC I Line Therapy


微信截图_20231221163312.png

图片51.png

图片52.png





患者情况

PSA变化情况


微信截图_20231221161212.png


TPSA变化情况


图片53.png


2018-09-18复查PSA仍缓慢上升

2018-10-29MR



原盆腔不规则形团状肿块较前明显缩小,现大小约13*25*20mm(原35*47*54mm),边界尚清晰,病灶与邻近膀胱左侧壁分界不清晰。直肠壁无增厚。双侧提肛肌形态、信号未见异常。盆腔内未见肿大淋巴结及腹水征象。右侧髋臼及右侧坐骨骨质破坏较前明显。  


CT: 左侧第7后肋、T7左侧横突、L2、L3椎体及左侧髂骨骨质破坏及结节、斑片状致密影,考虑多发骨转移瘤,建议结合相关检查。


全身轻微骨痛不适,一般情况良好。


于2018-10-30、11-20、2019-01予多西他赛107mg化疗三程,唑来膦酸对症治疗,但PSA仍逐渐升高,2019-04-30 PSA114.3ng/ml。


TPSA变化情况


图片58.png





诊疗循证

mCRPC II line therapy


微信截图_20231221161516.png





患者情况

2019-07参加中肿普克鲁胺试验,4个月后进展。

2020-03-13予EP方案化疗5疗程。

2020-06予右侧股骨放疗,DT40Gy/20Fx。

2020-06 CT:前列腺癌术后,术区软组织病灶累及膀胱左侧壁,范围较前增大,右侧髂血管盘多发淋巴结,肝s2、4/8交界、6肿瘤转移,耻骨上下支,右髋臼、左髂骨、双侧肩胛骨、多个锥体骨转移。


TPSA变化情况


微信截图_20231221161842.png



BRCA基因阴性

PD-1、PDL1:低表达


图片62.png

200 评论

查看更多