壹生大学

壹生身份认证协议书

本项目是由壹生提供的专业性学术分享,仅面向医疗卫生专业人士。我们将收集您是否是医疗卫生专业人士的信息,仅用于资格认证,不会用于其他用途。壹生作为平台及平台数据的运营者和负责方,负责平台和本专区及用户相关信息搜集和使用的合规和保护。
本协议书仅为了向您说明个人相关信息处理目的,向您单独征求的同意,您已签署的壹生平台《壹生用户服务协议》和《壹生隐私政策》,详见链接:
壹生用户服务协议:
https://apps.medtrib.cn/html/serviceAgreement.html
壹生隐私政策:
https://apps.medtrib.cn/html/p.html
如果您是医疗卫生专业人士,且点击了“同意”,表明您作为壹生的注册用户已授权壹生平台收集您是否是医疗卫生专业人士的信息,可以使用本项服务。
如果您不是医疗卫生专业人士或不同意本说明,请勿点击“同意”,因为本项服务仅面向医疗卫生人士,以及专业性、合规性要求等因素,您将无法使用本项服务。

同意

拒绝

同意

拒绝

知情同意书

同意

不同意并跳过

工作人员正在审核中,
请您耐心等待
审核未通过
重新提交
完善信息
{{ item.question }}
确定
收集问题
{{ item.question }}
确定
您已通过HCP身份认证和信息审核
(
5
s)

抽丝剥茧,迷雾追踪:多系统受损的“幕后真凶”——1例以支气管扩张症伴感染为主要表现的罕见胸腺瘤相关自身免疫性多器官综合征|北医三院精粹病例

2026-02-08作者:论坛报小璐资讯
原创

作者:北京大学第三医院呼吸与危重症医学科 徐少华 梁瀛





病史简介




男,36岁。2024年9月30日因“咳嗽咳痰8个月,加重伴呼吸困难、乏力、皮疹10余天”入院。



图片

现病史


图片




患者于8月前无明显诱因出现咳嗽,干咳为主,未重视。4月前咳嗽加重,咳黄灰色黏痰,乏力、纳差、活动后气短,伴味觉丧失,口腔黏膜可见白色膜状物附着。遂就诊于外院,胸部计算机体层摄影(CT)示双肺支气管扩张伴感染。予以左氧氟沙星抗感染、氨溴索化痰等治疗,咳嗽、咳痰略有减轻。3月前出现发热,Tmax 38.5℃,咳嗽、咳痰加重,伴明显乏力、活动后气短。外院血气分析(未吸氧)示pH 7.55、PCO2 27.7 mmHg、PO2 55 mmHg,胸部CT示双肺支气管扩张伴多发炎性病变。于当地医院住院,予以莫西沙星抗感染治疗9天,后患者体温降至正常,咳痰量减少,但呼吸困难、乏力、纳差改善不明显。

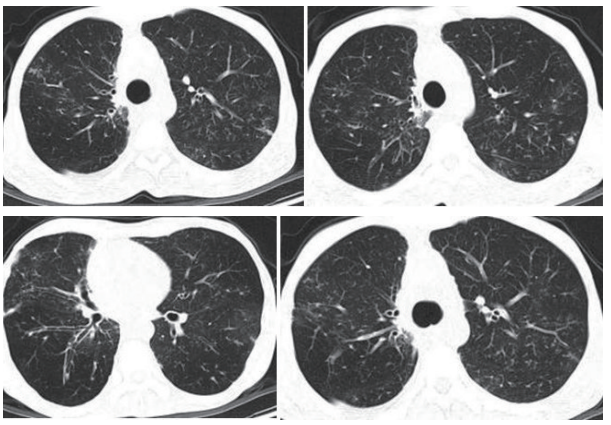
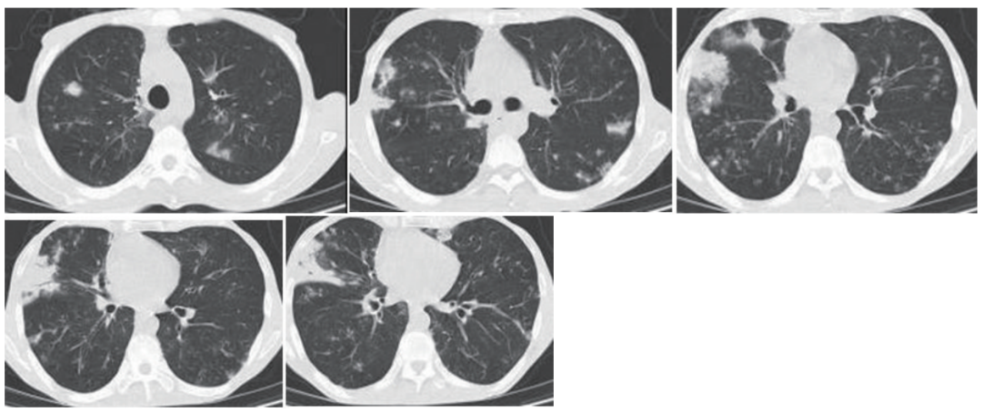
2月前患者自觉活动后气短明显加重,复查胸部CT示双肺炎性病变可能、较前部分新发,范围扩大(图1)。遂于我院住院治疗,气管镜肺泡灌洗液检出诺卡菌、黄曲霉菌,予以复方磺胺甲噁唑联合伏立康唑抗感染治疗1月余,咳嗽、咳痰症状减轻,呼吸困难基本改善。复查胸部CT示双肺炎症病变明显吸收(图2),出院后继续口服复方磺胺甲噁唑伏立康唑抗感染治疗。

10余天前患者再次出现痰量增多,为黄灰色痰,吸氧状态(2~4 L/min)下仍感气短,日常生活不能自理,躯干、四肢及头皮均可见水泡样皮疹及红色丘疹,同时伴瘙痒。就诊于我院急诊,胸部CT示双肺支气管扩张,双肺多发斑片状渗出影,较前进展(图3);血气分析示Ⅰ型呼吸衰竭,为进一步诊治以“支气管扩张症伴感染”收入呼吸科。患者自发病以来,精神、食欲差,睡眠差,大便不规律(便秘、腹泻交替),小便不畅(尿潴留、尿失禁交替),体重近半年下降8 kg。



图片

既往史


图片




胸腺瘤病史4年,2020年10月于外院行手术切除,病理示B2型胸腺瘤,术后2月复发,后行3周期化疗、21次放疗。2022年7月胸腺瘤右侧胸膜转移,再次行3周期化疗,21次放疗,末次放疗时间为2023年4月1日。2023年2月诊断重症肌无力,予以丙种球蛋白7天、醋酸泼尼松维持治疗9个月(初始剂量60 mg/d,逐渐减量,现停药10月余)。2023年5月诊断李斯特菌脑膜炎,已治愈。2023年10月诊断焦虑抑郁症,躯体化症状明显,伴严重睡眠障碍,曾行电休克治疗,改善不佳,现口服西酞普兰5 mg 每晚一次。



图片

个人史及家族史


图片




无吸烟、饮酒史。个人史、婚育史及家族史无特殊。



图片

体格检查


图片




体温36.0℃,心率136次/分,呼吸频率20次/分,血压120/68 mmHg。营养不良,极度消瘦,体质指数(BMI)12.5 kg/m2。慢性病容、表情淡漠、反应迟钝。头面部散发水疱,部分可见脐凹。躯干部散发红斑、丘疹、丘疱疹,部分破溃、结痂。左上肢皮肤破溃、结痂。左手手掌肿胀,水疱、破溃。双手指缝多发水疱。双下肢少量红斑,丘疱疹。左前臂伸侧面皮肤破溃(图4)。双肺呼吸音低,未闻及干湿性啰音。心律齐,未闻及病理性杂音。舟状腹,无压痛、包块,肠鸣音正常。



图片

辅助检查


图片




image.png

图1 胸部CT(2024年7月)



image.png

图2 胸部CT(2024年8月)



image.png

图3 胸部CT(2024年9月)



image.png

图4 患者全身多发水疱,伴局部破溃、结痂



图片

初步诊断


图片




①支气管扩张症伴感染;② 侵袭性肺曲霉菌病、诺卡菌病;③ 重症肌无力;④ 焦虑抑郁状态;⑤ 睡眠障碍;⑥ 胸腺瘤术后、复发后放化疗后。



图片

入院检查


图片




血气分析(鼻导管吸氧5 L/min)示pH 7.44,PCO2 35 mmHg,PO2 95 mmHg,乳酸2.63 mmo/L,氧合指数231 mmHg。血常规示白细胞12.56×109/L,红细胞4.0×1012/L,血红蛋白132 g/L,血小板201×109/L,中性粒细胞百分数82%。降钙素原0.408 ng/ml。免疫球蛋白七项示补体C3 0.66。生化检验示白蛋白21.3 g/L,丙氨酸氨基转移酶54 U/L,天门冬氨酸氨基转移酶62 U/L,乳酸脱氢酶 259 mmol/L,钠123.6 mmol/L,肌酐33 μmol/L。肌炎抗体谱10项示抗Ro-52抗体弱阳性(+),抗Mi-2抗体阳性(++),抗PL-12抗体阳性(++)。痰液靶向二代测序(tNGS)示大肠埃希菌、水痘带状疱疹病毒。淋巴细胞亚群、G(1,3-β-D葡聚糖)试验、GM(半乳甘露聚糖)试验、曲霉菌免疫球蛋白(Ig)G及凝血功能未见异常。





入院诊疗过程




患者支气管扩张症伴感染诊断明确,院外抗感染效果不佳,病情进展;且该患者为胸腺瘤切除术后,曾长期口服醋酸泼尼松治疗,考虑合并免疫缺陷或免疫受损,气管镜肺泡灌洗液提示诺卡菌、黄曲霉菌,予以复方磺胺甲噁唑联合伏立康唑抗感染、补充丙种球蛋白后好转。

本次住院前咳嗽、咳痰加重,伴气短,复查胸部CT提示双肺支气管扩张,结节影及树芽征范围增大,痰病原学检测出大肠埃希菌、水痘带状疱疹病毒,考虑病情加重,继续予以复方磺胺甲噁唑伏立康唑,并联合美罗培南抗感染、更昔洛韦抗病毒治疗。但患者咳嗽、咳痰未见好转,呼吸困难加重,氧合指数下降至186 mmHg,遂转入呼吸重症监护病房(RICU)治疗,予以经鼻高流量氧疗(氧浓度60%,流速30 L/min)。此外,患者合并有明显的肺外表现,如面色晦暗、消瘦、营养状况极差;大便不规律(便秘、腹泻交替);小便不畅(尿潴留、尿失禁交替);全身散在斑丘疹及水疱,皮疹进行性加重,上肢大面积皮损;严重睡眠障碍,几乎无法入睡,每日睡眠时间仅2~3小时,且伴有谵妄。



图片

患者多系统受累情况


图片




皮肤 全身皮疹,皮肤水疱形成;左上肢剥脱性皮损,双手掌大疱性皮损(皮肤科会诊初步考虑水痘,予以静脉滴注更昔洛韦抗病毒、外用抗病毒药物,但症状无改善,且进行性加重)。

神经系统 ① 自主神经症状为多汗、便秘、腹泻、尿失禁、尿潴留、窦性心动过速及体重下降;② 周围神经症状为肌肉抽搐、痉挛及肌束颤动;③ 中枢神经症状为睡眠障碍、谵妄、躁动、记忆障碍、定向力障碍、认知障碍、不自主运动、生动性幻觉及精神障碍(头颅CT未见脑梗死、脑出血;精神卫生研究所会诊考虑抑郁症躯体化症状,给予西酞普兰口服,但患者上述神经系统症状无改善,并进行性加重)。



图片

第一次全院联合会诊综合建议


图片




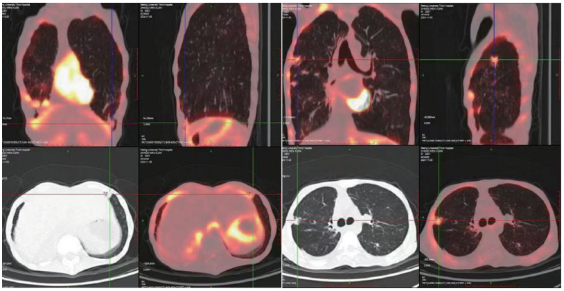
患者胸腺瘤术后,曾合并重症肌无力,此次神经系统症状包括自主神经、周围神经及中枢神经等,须考虑中枢神经系统感染(如病毒性脑炎),不排除自身免疫性脑炎,进一步完善腰椎穿刺术,留取脑脊液送检病原学检测,同时送检血清及脑脊液自身免疫性脑炎相关抗体、乙酰胆碱受体(AChR) 抗体等检验,还须行肌电图、脑电图等检查。皮损除考虑水痘外,须鉴别天疱疮。因患者存在免疫状态紊乱,会诊建议行正电子发射体层摄影(PET)-CT明确是否存在胸腺瘤复发所导致的免疫状态紊乱。



图片

进一步完善相关检查


图片




脑电图 重度异常脑电图。

肌电图 神经源性损害。

睡眠监测 W期、N1期(清醒期),约92.8%。

脑脊液常规 压力80 cmH2O,无色透明,细胞总数216/μl,白细胞数2/μl。

脑脊液生化 氯125 mmol/L,葡萄糖2.85 mmol/L,脑脊液总蛋白172 mg/dl。

脑脊液二代测序 水痘带状疱疹病毒,序列数18。

血自身免疫性脑炎24项 抗接触蛋白偶联蛋白(CASPR)2抗体阳性(滴度1∶32)、AChR阳性。

PET-CT 胸腺瘤术后,右侧胸膜多发增厚伴代谢增高,右肺门叶间胸膜处代谢增高结节,考虑转移,扫及全身多发肌肉代谢不同程度增高,考虑重症肌无力所致肌肉代偿性摄取可能(见图5) 。



图片

第二次全院联合会诊综合建议


图片




神经内科 患者神经系统症状累及自主神经、中枢神经以及周围神经,脑脊液二代测序可见少量带状疱疹病毒,虽然提示病毒性脑炎可能,但此病多为自限性,且当前已无发热、脑膜刺激征等病毒性脑炎相关症状及体征,病毒性脑炎不能解释病情全貌。目前CASPR2抗体、AChR抗体均阳性,提示自身免疫性脑炎、重症肌无力,结合患者肌纤维抽搐、自主神经紊乱、睡眠异常以及生动性幻觉等神经、精神症状,PET-CT证实胸腺瘤复发,符合罕见病莫旺综合征(Morvan syndrome)诊断,此病为副肿瘤综合征一部分,常继发于胸腺瘤。治疗上首选糖皮质激素,同时联合丙种球蛋白溴吡斯的明。患者一般情况较差、体重轻,糖皮质激素冲击治疗风险较高,且无证据表明糖皮质激素冲击对自身免疫性脑炎更有优势,建议泼尼松0.5~1 mg/(kg·d),并予以丙种球蛋白溴吡斯的明治疗。

皮肤科 患者全身皮疹的初期表现符合水痘带状疱疹病毒感染,更昔洛韦足疗程治疗后症状无改善,且逐渐加重。皮损为大疱样改变,结合患者胸腺瘤复发、副肿瘤综合征,考虑副肿瘤性天疱疮可能性大。

肿瘤化疗科 患者胸腺瘤复发诊断明确,目前美国东部肿瘤协作组(ECOG)评分4分,无法进行放化疗。肿瘤多发转移,共病较多,手术切除困难,建议以内科综合治疗为主。

呼吸科 回顾患者的病史及影像学资料,支气管扩张症在半年内出现,进展速度高于经典的感染后支气管扩张症,且目前亦不支持自身免疫性疾病、遗传性疾病等继发的支气管扩张症,胸部CT除了支气管扩张外,可见马赛克征、树芽征,应考虑闭塞性细支气管炎。文献显示,闭塞性细支气管炎常见于肺移植术后,此外可发生于30%的副肿瘤性天疱疮患者。



image.png

图5 PCT-CT影像



image.png

图6 胸部CT(治疗后1周)



image.png

图7 患者左上肢及手部皮损愈合(治疗后1个月)



图片

最终主要诊断


图片




①胸腺瘤术后复发,胸膜转移;② 副肿瘤自身免疫多器官综合征(闭塞性细支气管炎、自身免疫性脑炎-莫旺综合征、副肿瘤性天疱疮、重症肌无力)。



诊疗转归

予以甲泼尼龙32 mg/d、溴吡斯的明30 mg/d、丙种球蛋白15 g/d(共7天)。3天后,患者神经系统症状明显改善,夜间睡眠时间可持续5小时以上;吞咽功能恢复,可进食普通饮食;左上肢皮肤渗出明显减少。1周后,复查胸部CT(图6)示双肺渗出性病变、细支气管炎较前吸收。半月后,患者体重增加8.5 kg,逐渐恢复生活自理能力。1月后,左上肢及手部皮损愈合、遗留少量色素沉着,躯干皮疹愈合(图7),可在室内自主缓慢步行。



随访

半年后,患者已恢复社会功能(图8),活动耐力基本正常。目前口服泼尼松10 mg/d,他克莫司1 mg/d。

image.png

图8 患者回归正常生活





小结




胸腺瘤引起的自身免疫性多器官综合征为罕见病。自身免疫多器官受累包括副肿瘤性天疱疮、闭塞性细支气管炎、副肿瘤性神经疾病(如重症肌无力、获得性神经肌肉病、脑炎、莫旺综合征)、炎症性肌病、红斑狼疮、自身免疫性肝炎等。该病起病隐匿、病程长,可发生在肿瘤诊断前或治疗后,因涉及多系统,故确定诊断复杂且困难。重症肌无力为胸腺瘤常见的副肿瘤综合征表现,但胸腺瘤引起自身免疫性多器官综合征非常罕见,通过检测特定自身抗体包括重症肌无力的AChR抗体,以及获得性神经肌肉病、莫旺综合征或自身免疫性脑炎的CASPR2抗体、电压门控钾通道复合物蛋白(VGKC)抗体等,或进行皮肤病理活检,对该病具有诊断价值。

本病例以支气管扩张症伴感染为主要表现就诊于我院呼吸科,第一次出院后在随诊过程中出现严重的皮肤受累,且该患者在胸腺瘤复发后出现愈发加重的多发性神经、精神症状,不能以支气管扩张症的常见病因(如感染、变应性支气管肺曲霉病、常见的结缔组织病、免疫缺陷、先天性或遗传性疾病)进行解释,故而考虑胸腺瘤相关的副肿瘤综合征可能。经多学科会诊,检测到患者血液中存在特征性的CASPR2抗体和AChR抗体阳性,进而得以确诊。该病治疗手段包括激素、免疫抑制剂、丙种球蛋白和血浆置换等,本例患者经口服激素、丙种球蛋白溴吡斯的明治疗后,多系统损害迅速改善,包括皮损愈合、睡眠状况改善、神经系统症状缓解、体力活动逐渐恢复、肺部病灶减轻以及体重增加等,结合患者治疗反应,支持最终诊断。



图片

本栏目与北京大学第三医院呼吸与危重症医学科合作

特约栏目主编 孙永昌

特约编委 梁瀛

200 评论

查看更多