查看更多
密码过期或已经不安全,请修改密码
修改密码
壹生身份认证协议书
同意
拒绝
同意
拒绝
同意
不同意并跳过
病例介绍
男,56岁,主因间断咳嗽,咳痰,发热伴关节疼痛3月就诊。











诊断思路
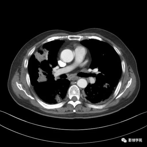
1、肺癌:是常见的肺部恶性肿瘤。临床症状包括由原发肿瘤引起的症状如体重下降、发热、咳嗽、咯痰,多为刺激性干咳,痰中可见血丝,继发感染时痰量增加。亦可以咯血为首发症状。发现新发结节影且纵隔淋巴结肿大,或见阻塞性肺炎、肺不张等。患者中年男性,无长期吸烟史,近期出现咳嗽,胸部CT示:双肺多发斑片影,肺癌可能性不大。
2、肺炎:肺炎以细菌感染多见,常有急起的寒战、高热,咳嗽、咳痰,可伴有恶心呕吐,食欲不振,全身肌肉关节疼痛。急性期常有肺实变体征。WBC常大于10.0×109/L, X线胸片多见大片状高密度影。患者高热,胸部CT提示双肺多大斑片影,不除外肺炎。
3、结核:肺结核多有全身中毒症状,如午后低热、盗汗、疲乏无力、体重减轻等,X线胸片见病变多在肺尖或锁骨上下,密度不均,消散缓慢,且可形成空洞或肺内播散。痰中可找到结核分枝杆菌,一般抗生素治疗无效。患者无午后发热、盗汗,无体重减轻等症状,暂不考虑肺部结核。
4、机化性肺炎,伴有不同程度的咳嗽和呼吸困难。咳嗽、咳白痰,症状出现时通常疑似下呼吸道感染。患者通常接受至少1个月或多个疗程的抗生素治疗,常见症状有体重持续降低、出汗、寒战,间断发热和乏力显示病变沿胸膜下或支气管周围分布,以下肺区更明显。当出现实变就能见到支气管气像。实变区常见轻度柱状支气管扩张。将近50%的病例常出现沿支气管血管分布的小结节影。大约60%的病例出现磨玻璃影,通常与肺实质相伴随。胸腔积液罕见。
病理结果
灰白色穿刺组织2条,大者为1.2x0.05x0.05 cm,小者为0.9x0.05x0.05 cm,质软。(右肺)病变符合机化性肺炎。PAS染色(-)。
诊断
机化性肺炎;
双肺多发斑片影,考虑感染性病变可能。
查看更多