查看更多
密码过期或已经不安全,请修改密码
修改密码
壹生身份认证协议书
同意
拒绝
同意
拒绝
同意
不同意并跳过
据估计,约9%~30%可疑脑卒中患者和2.8%~17%接受IV-tPA治疗的患者存在卒中类似疾病。大多数卒中类似疾病包括癫痫、偏头痛、肿瘤和中毒代谢性疾病。
缺血缺氧性脑病
缺血缺氧性脑病(HIE)是全脑缺氧的结果。最常见的原因是心脏骤停、呼吸衰竭和休克。严重的患者大脑皮质和深部灰质均受累(图1)。
较轻的患者可以见到边缘带梗死类型。罕有纯白质型,这可能是全脑缺血诱发脱髓鞘表现。小脑通常不受累。

图1 一例31岁男性,有海洛因和可卡因滥用史,出现无脉性电活动心搏骤停。MRI显示双侧顶枕叶和额叶、双侧丘脑弥漫性弥散受限(A:DWI,B:ADC)、T2-FLAIR高信号(C:FLAIR),符合全脑缺氧性损伤。
Wernicke脑病
Wernicke脑病见于伴硫胺素缺乏的嗜酒和其他营养不良患者。患者出现精神状态改变、记忆损伤、眼肌麻痹或共济失调。
典型MRI显示乳头体、下丘脑、内侧丘脑、顶盖和导水管周围区域对称性T2/FLAIR高信号,大脑皮质也可能受累。在疾病早期,可见到由于细胞源性水肿导致的弥散受限(图2)。

图2 一例62岁女性,复视3个月,听力丧失数天,因眩晕、恶心、呕吐、眼震和厌食来诊。她被诊断为营养缺乏导致的Wernicke病,硫胺素水平为35 nmol/L (正常70–180)。MRI显示四叠体板、中脑导水管周围灰质、下丘脑和双侧上丘FLAIR高信号和各种不同程度的弥散(A:DWI,B:ADC)。
肝性脑病
轻型肝性脑病的典型影像学表现为对称性苍白球T1低信号。严重病例的MRI显示皮层(特别是扣带回和岛叶)和基底节T2高信号和弥散受限(图3)。
丘脑、脑室旁白质和脑干也可能受累。弥散性皮质受累是可逆的,但永久性神经功能后遗症的风险会上升。ADC值降低可能是由于血氨导致的兴奋毒性损伤和星形胶质细胞渗透压异常。

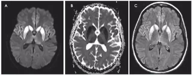
图3 一例53岁女性,酒精性肝硬化,因腹痛、恶心和呕血就诊于急诊。数天后,她出现无反应,伴脑干反射消失,血氨水平达360 μmol/L。她被诊断为肝性脑病,MRI显示双侧额叶和岛叶皮层和丘脑轻度弥散受限(A:DWI,B:ADC)和FLAIR高信号(C)。豆状核有轻度T1高信号(D)。
克雅氏病
克雅氏病(CJD)是由于朊蛋白错误折叠导致的快速进展性、传染性、致死性神经退行性疾病。DWI比FLAIR或T2WI更加敏感,并伴ADC降低。CJD患者有对称性基底节受累和对称性或非对称性皮层受累(图4)。

图4 一例48岁女性,精神状态改变、亚急性记忆减退伴步态异常1年,近期出现人格改变。MRI显示双侧基底节、丘脑、皮质弥散受限(A:DWI,B:ADC)和T2-FLAIR(C)高信号。患者被诊断为CJD。
东部马脑炎
这是一种蚊子传播的虫媒病毒,临床表现可从感冒样症状、意识模糊和嗜睡,到神经功能缺损、癫痫发作和昏迷。
约5%感染导致脑炎,1/3患者死亡,存活患者遗留明显残疾。典型病灶出现在双侧基底节、丘脑和脑干T2-FLAIR高信号(图5)。皮层和脑室旁白质受累相对少见。

图5 一例43岁男性,发热、头痛、精神状态改变2天,发病2天前曾野营。入院MRI显示双侧基底节、丘脑和岛叶T2-FLAIR(A)高信号和轻度弥散减低(B:DWI,C:ADC),左侧重于右侧。数天后MRI显示更为广泛的基底节和岛叶皮层受累(D:FLAIR)。
结 语
在急诊科,人们经常会遇到一些与卒中类似的疾病,其中部分患者还可能被给予静脉tPA治疗。尽管存在许多临床和影像方面的重叠,但基于病变的分布模式,可以为大多数这类疾病提供一个合理而准确的鉴别诊断方法,有助于对其进行及时而合理的治疗。
来源:神经病学医学网
转载已获授权,其他账号转载请联系原账号
查看更多